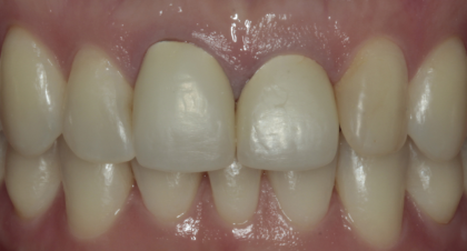
Vorher-Nachher-Bild | Veneers von  Elias Nisafi | Berlin 2f55707d Nachher-Bild
Nachher
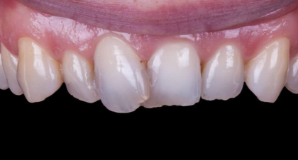
Vorher-Nachher-Bild | Veneers von  Elias Nisafi | Berlin 2f55707d Vorher-Bild
Vorher
Veneers  Elias Nisafi Elias Nisafi Berlin
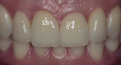
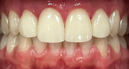
Vorher-Nachher-Bild | Veneers von  Anna Nasilowski | Bergisch Gladbach f770b62b Nachher-Bild
Nachher
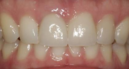
Vorher-Nachher-Bild | Veneers von  Anna Nasilowski | Bergisch Gladbach f770b62b Vorher-Bild
Vorher
Veneers+1  Anna Nasilowski Anna Nasilowski Bergisch Gladbach
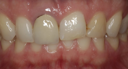
Vorher-Nachher-Bild | Veneers von Dr. med. dent. Kai Zwanzig | Bielefeld 9461cce2 Nachher-Bild
Nachher
Vorher-Nachher-Bild | Veneers von Dr. med. dent. Kai Zwanzig | Bielefeld 9461cce2 Vorher-Bild
Vorher
Veneers Dr. Kai Zwanzig Dr. Kai Zwanzig Bielefeld
Vorher-Nachher-Bild | Implantate von    | Bielefeld 9461cce2 Nachher-Bild
Nachher
Vorher-Nachher-Bild | Implantate von    | Bielefeld 9461cce2 Vorher-Bild
Vorher
Implantate+2 Dr. Kai Zwanzig Dr. Kai Zwanzig Bielefeld
Vorher-Nachher-Bild | Kronen von  Ahmad Saleh | Düsseldorf c0c7c76d Nachher-Bild
Nachher
Vorher-Nachher-Bild | Kronen von  Ahmad Saleh | Düsseldorf c0c7c76d Vorher-Bild
Vorher
Kronen+3  Ahmad Saleh Ahmad Saleh Düsseldorf
Vorher-Nachher-Bild | Veneers von Dr. med. dent. Tina Hornbacher | Schwäbisch-Gmünd 25ddc0f8 Nachher-Bild
Nachher
Vorher-Nachher-Bild | Veneers von Dr. med. dent. Tina Hornbacher | Schwäbisch-Gmünd 25ddc0f8 Vorher-Bild
Vorher
Veneers Dr. Tina Hornbacher Dr. Tina Hornbacher Schwäbisch-Gmünd
Vorher-Nachher-Bild | Veneers von Dr. med. dent. Tina Hornbacher | Schwäbisch-Gmünd 25ddc0f8 Nachher-Bild
Nachher
Vorher-Nachher-Bild | Veneers von Dr. med. dent. Tina Hornbacher | Schwäbisch-Gmünd 25ddc0f8 Vorher-Bild
Vorher
Veneers Dr. Tina Hornbacher Dr. Tina Hornbacher Schwäbisch-Gmünd
Vorher-Nachher-Bild | Veneers von Dr. med. dent. Nikolas Ganß | Köln 49ae49a2 Nachher-Bild
Nachher
Vorher-Nachher-Bild | Veneers von Dr. med. dent. Nikolas Ganß | Köln 49ae49a2 Vorher-Bild
Vorher
Veneers Dr. Nikolas Ganß Dr. Nikolas Ganß Köln
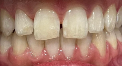
Vorher-Nachher-Bild | Veneersvon Dr. med. dent. Soeren Pinz, M.Sc. | Krefeld ef575e88 Nachher-Bild
Nachher
Vorher-Nachher-Bild | Veneersvon Dr. med. dent. Soeren Pinz, M.Sc. | Krefeld ef575e88 Vorher-Bild
Vorher
Veneers+1 Dr. Soeren Pinz, M.Sc. Dr. Soeren Pinz, M.Sc. Krefeld
Vorher-Nachher-Bild | Kronenvon Dr. med. dent. Soeren Pinz, M.Sc. | Krefeld ef575e88 Nachher-Bild
Nachher
Vorher-Nachher-Bild | Kronenvon Dr. med. dent. Soeren Pinz, M.Sc. | Krefeld ef575e88 Vorher-Bild
Vorher
Kronen+1 Dr. Soeren Pinz, M.Sc. Dr. Soeren Pinz, M.Sc. Krefeld
Vorher-Nachher-Bild | Veneers  | von    | Berlin 8e6b42f1 Nachher-Bild
Nachher
Vorher-Nachher-Bild | Veneers  | von    | Berlin 8e6b42f1 Vorher-Bild
Vorher
Veneers Dr. Pourya Farrokh Dr. Pourya Farrokh Berlin
Vorher-Nachher-Bild | Veneers  | von Dr. med. dent. Pourya Farrokh | Berlin 8e6b42f1 Nachher-Bild
Nachher
Vorher-Nachher-Bild | Veneers  | von Dr. med. dent. Pourya Farrokh | Berlin 8e6b42f1 Vorher-Bild
Vorher
Veneers Dr. Pourya Farrokh Dr. Pourya Farrokh Berlin

Schöne Zähne dank Veneers

Ein schönes Lächeln – die Visitenkarte schlechthin für einen positiven ersten Eindruck. Doch damit können viele Menschen nicht dienen. Der Grund: Zahnfehlstellungen, Lücken, Verfärbungen oder Bruchstellen trüben die Ästhetik eines herzhaften Lachens und schränken Betroffene teils stark in ihrer täglichen Mimik ein. Die Lösung: Veneers. Informieren Sie sich hier über die Anwendung und vergleichen Sie Vorher-Nachher-Bilder um Ihren Experten zu finden.

Schöne Zähne? Ja, aber natürlich!

Viele Betroffene wünschen sich ihr schönes Lächeln zurück, haben aber gleichzeitig Bedenken, dass Verblendschalen künstlich und unnatürlich aussehen könnten. Tatsächlich sind Veneers aber nur maximal einen Millimeter dick. Viele Veneers sind sogar noch dünner mit gerade einmal 0,3 bis 0,5 Millimetern Stärke. Somit fallen die hauchdünnen Verblendschalen aus Keramik kaum auf. Bereits in den zwanziger Jahren des letzten Jahrhunderts kamen erste Veneer-Modelle für Filmaufnahmen zum Einsatz. Eine der ersten prominenten Trägerinnen war Marilyn Monroe. Ihren Durchbruch feierten die Veneers dann in den achtziger Jahren, als sich berühmte Schauspieler damit auf den roten Teppichen der Welt zeigten. Mittlerweile sind sie für jedermann erschwinglich geworden und haben sich in fast jeder Zahnarztpraxis als optimale Lösung für Zahnverblendungen etabliert.

Veneers: Die schmerzfreie Lösung für schöne Zähne

Das Aufbringen auf die eigenen Zähne ist denkbar einfach. Zunächst werden die betreffenden Zähne gereinigt. Dann wird der Zahnschmelz angeraut und gegebenenfalls leicht abgeschliffen. Zu guter Letzt können auch schon die Veneers aufgeklebt werden. Die Farbe der Veneers kann dabei optimal an Ihre natürliche Zahnfarbe angepasst werden, sodass sie kaum oder gar nicht auffallen. Aufgrund ihrer glatten Oberflächenstruktur haften weder Plaque noch Beläge auf ihnen. Bei guter Pflege können sie bis zu 15 Jahre im Mund verbleiben. Und: Im Gegensatz zum Bleaching bleibt die Farbe Ihrer Veneers dauerhaft erhalten. Da sie aus Keramik oder Kunststoff bestehen, sind sie auch für Allergiker geeignet.