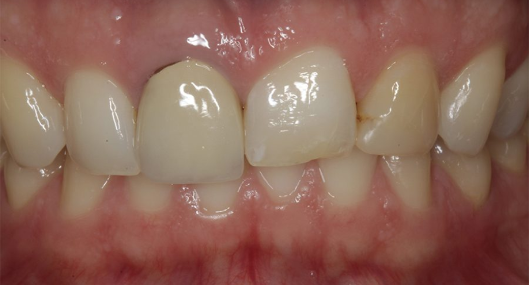
Behandlung Vorher-Nachher-Bild | Veneers von Dr. med. dent. Nikolas Ganß | Köln 49ae49a2 Vorher-Bild
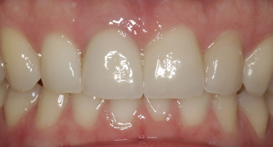
Nachher
Behandlung Vorher-Nachher-Bild | Veneers von Dr. med. dent. Nikolas Ganß | Köln 49ae49a2 Nachher-Bild
Vorher
586 Ansichten

Veneers Vorher Nachher

von Dr. med. dent. Nikolas Ganß

Dr. med. dent. Nikolas Ganß Profilbild
Alle durchgeführten Behandlungen bei diesem Fall: Veneers

Du findest das Behandlungsergebnis toll und möchtest Dich in dieser Praxis behandeln oder beraten lassen? Jetzt Kontakt aufnehmen:

Kontakt zur Praxis

Befund

insuffiziente Krone, verfärbter Zahn durch Wurzelkanalbehandlung

Behandlung

Überkronung, Veneers

Patientendaten

männlich, 40