Behandlung Vorher-Nachher-Bild | Veneers  | von    | Berlin 8e6b42f1 Vorher-Bild
Nachher
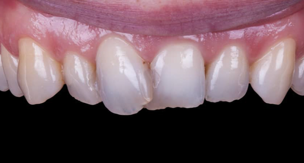
Behandlung Vorher-Nachher-Bild | Veneers  | von    | Berlin 8e6b42f1 Nachher-Bild
Vorher
733 Ansichten

Veneers Vorher Nachher

von Dr. med. dent. Pourya Farrokh

Zahnarztbild Placeholder
Alle durchgeführten Behandlungen bei diesem Fall: Veneers

Du findest das Behandlungsergebnis toll und möchtest Dich in dieser Praxis behandeln oder beraten lassen? Jetzt Kontakt aufnehmen:

Kontakt zur Praxis

Befund

Zahnfehlstellungen im Oberkiefer.

Behandlung

Korrektur der Fehlstellung durch das Anbringen von 4 Porzellan Veneers.