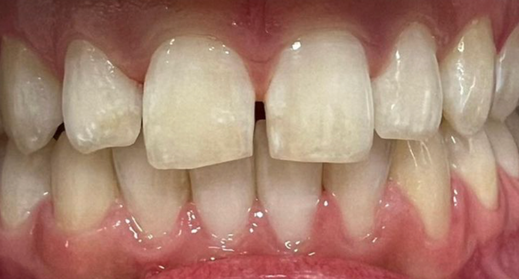
Behandlung Vorher-Nachher-Bild | Veneers von Dr. med. dent. Tina Hornbacher | Schwäbisch-Gmünd 25ddc0f8 Vorher-Bild
Nachher
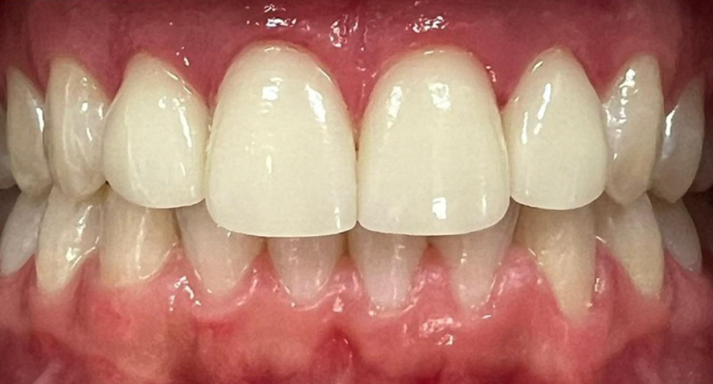
Behandlung Vorher-Nachher-Bild | Veneers von Dr. med. dent. Tina Hornbacher | Schwäbisch-Gmünd 25ddc0f8 Nachher-Bild
Vorher
537 Ansichten

Veneers Vorher Nachher

von Dr. med. dent. Tina Hornbacher

Zahnarztbild Placeholder
Alle durchgeführten Behandlungen bei diesem Fall: Veneers

Du findest das Behandlungsergebnis toll und möchtest Dich in dieser Praxis behandeln oder beraten lassen? Jetzt Kontakt aufnehmen:

Kontakt zur Praxis

Behandlung

4 Veneers in der Front machen das Lächeln unserer jungen Patientin voll perfekt und sie glücklich.

Patientendaten

weiblich