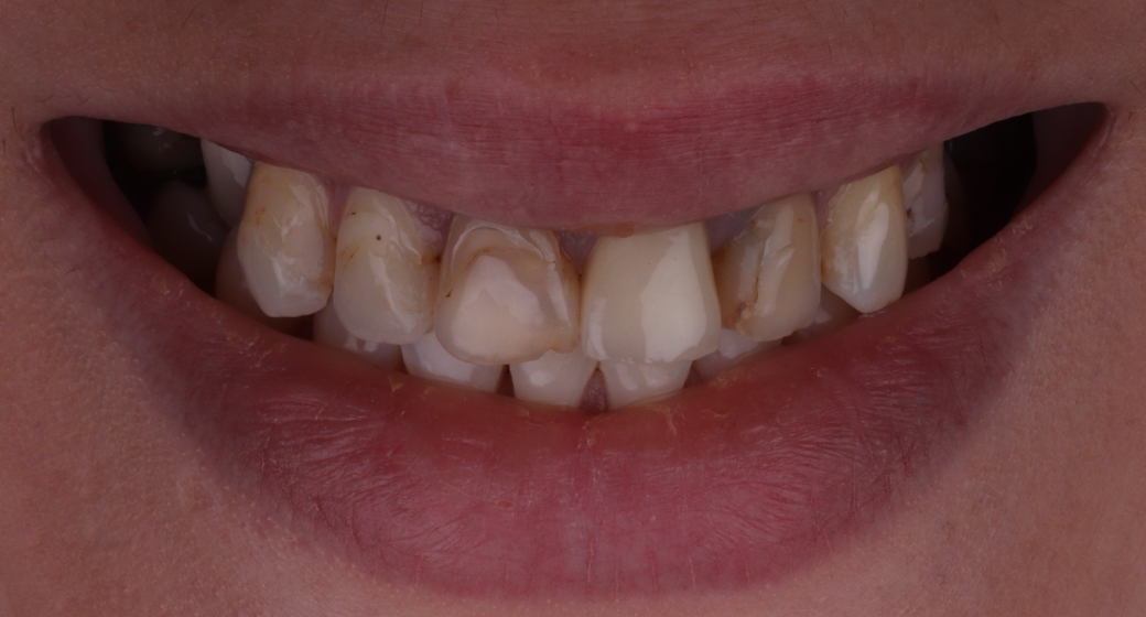
Behandlung Vorher-Nachher-Bild | Veneersvon Dr. med. dent. Soeren Pinz, M.Sc. | Krefeld ef575e88 Vorher-Bild
Nachher
Behandlung Vorher-Nachher-Bild | Veneersvon Dr. med. dent. Soeren Pinz, M.Sc. | Krefeld ef575e88 Nachher-Bild
Vorher
724 Ansichten

Veneers Vorher Nachher

von Dr. med. dent. Soeren Pinz, M.Sc.

Dr. med. dent. Soeren Pinz, M.Sc. Profilbild
Alle durchgeführten Behandlungen bei diesem Fall: VeneersKronen

Du findest das Behandlungsergebnis toll und möchtest Dich in dieser Praxis behandeln oder beraten lassen? Jetzt Kontakt aufnehmen:

Kontakt zur Praxis

Befund

Zahnverfärbungen, Karies, insuffiziente Füllungen

Behandlung

Veneers und Kronen

Patientendaten

weiblich, 34 Jahre