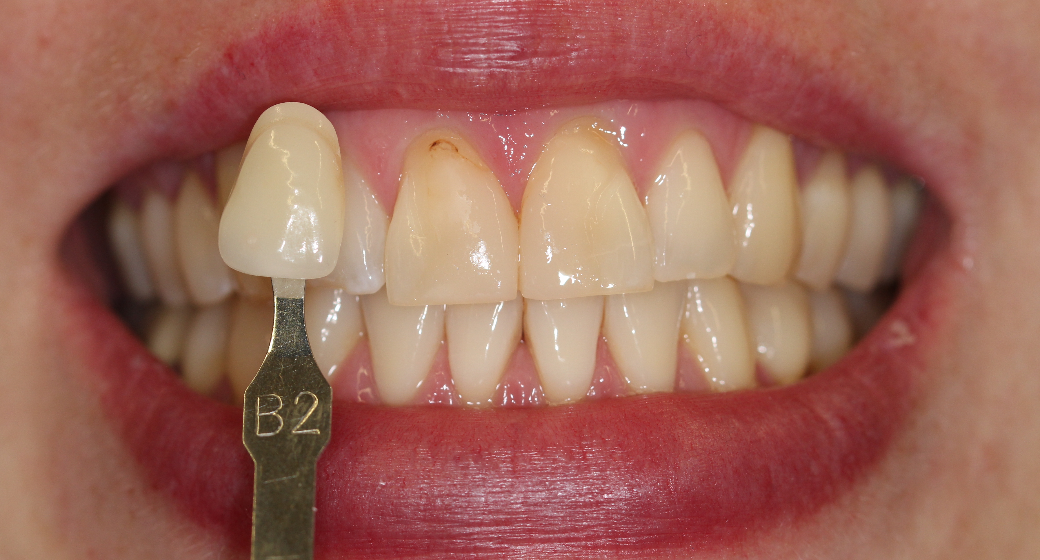
Behandlung Vorher-Nachher-Bild | Veneers von  Anna Nasilowski | Bergisch Gladbach f770b62b Vorher-Bild
Nachher
Behandlung Vorher-Nachher-Bild | Veneers von  Anna Nasilowski | Bergisch Gladbach f770b62b Nachher-Bild
Vorher
558 Ansichten

Veneers Vorher Nachher

von Anna Nasilowski

 Anna Nasilowski Profilbild
Alle durchgeführten Behandlungen bei diesem Fall: VeneersBleaching

Du findest das Behandlungsergebnis toll und möchtest Dich in dieser Praxis behandeln oder beraten lassen? Jetzt Kontakt aufnehmen:

Kontakt zur Praxis