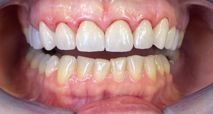
Vorher-Nachher-Bild | Veneers  | von  Jubin Banivaheb  | Düsseldorf  a5bfc9e0 Nachher-Bild
Nachher
Vorher-Nachher-Bild | Veneers  | von  Jubin Banivaheb  | Düsseldorf  a5bfc9e0 Vorher-Bild
Vorher
Veneers ZA Jubin Banivaheb ZA Jubin Banivaheb Düsseldorf
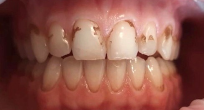
Vorher-Nachher | ZA Nasibeh  Rad Nachherbild
Nachher
Vorher-Nachher | ZA Nasibeh  Rad Vorherbild
Vorher
Brücken+3 Dr. Nasibeh Rad Dr. Nasibeh Rad Niederkassel
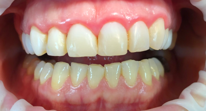
Vorher-Nachher | ZA Nils Hunselar Nachherbild
Nachher
Vorher-Nachher | ZA Nils Hunselar Vorherbild
Vorher
Veneers  Nils Hunselar Nils Hunselar Düsseldorf
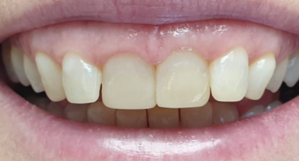
Vorher-Nachher | ZA Nils Hunselar Nachherbild
Nachher
Vorher-Nachher | ZA Nils Hunselar Vorherbild
Vorher
Veneers  Nils Hunselar Nils Hunselar Düsseldorf

Schöne Zähne dank Veneers

Ein schönes Lächeln – die Visitenkarte schlechthin für einen positiven ersten Eindruck. Doch damit können viele Menschen nicht dienen. Der Grund: Zahnfehlstellungen, Lücken, Verfärbungen oder Bruchstellen trüben die Ästhetik eines herzhaften Lachens und schränken Betroffene teils stark in ihrer täglichen Mimik ein. Die Lösung: Veneers. Informieren Sie sich hier über die Anwendung und vergleichen Sie Vorher-Nachher-Bilder um Ihren Experten zu finden.

Schöne Zähne? Ja, aber natürlich!

Viele Betroffene wünschen sich ihr schönes Lächeln zurück, haben aber gleichzeitig Bedenken, dass Verblendschalen künstlich und unnatürlich aussehen könnten. Tatsächlich sind Veneers aber nur maximal einen Millimeter dick. Viele Veneers sind sogar noch dünner mit gerade einmal 0,3 bis 0,5 Millimetern Stärke. Somit fallen die hauchdünnen Verblendschalen aus Keramik kaum auf. Bereits in den zwanziger Jahren des letzten Jahrhunderts kamen erste Veneer-Modelle für Filmaufnahmen zum Einsatz. Eine der ersten prominenten Trägerinnen war Marilyn Monroe. Ihren Durchbruch feierten die Veneers dann in den achtziger Jahren, als sich berühmte Schauspieler damit auf den roten Teppichen der Welt zeigten. Mittlerweile sind sie für jedermann erschwinglich geworden und haben sich in fast jeder Zahnarztpraxis als optimale Lösung für Zahnverblendungen etabliert.

Veneers: Die schmerzfreie Lösung für schöne Zähne

Das Aufbringen auf die eigenen Zähne ist denkbar einfach. Zunächst werden die betreffenden Zähne gereinigt. Dann wird der Zahnschmelz angeraut und gegebenenfalls leicht abgeschliffen. Zu guter Letzt können auch schon die Veneers aufgeklebt werden. Die Farbe der Veneers kann dabei optimal an Ihre natürliche Zahnfarbe angepasst werden, sodass sie kaum oder gar nicht auffallen. Aufgrund ihrer glatten Oberflächenstruktur haften weder Plaque noch Beläge auf ihnen. Bei guter Pflege können sie bis zu 15 Jahre im Mund verbleiben. Und: Im Gegensatz zum Bleaching bleibt die Farbe Ihrer Veneers dauerhaft erhalten. Da sie aus Keramik oder Kunststoff bestehen, sind sie auch für Allergiker geeignet.