Dr. med. dent. Kay Zurmühl  Profilbild

Zahnarzt Dr. med. dent. Kay Zurmühl

Immermannstraße 15,
40210 Düsseldorf

AlignerAngstpatientenBiologische ZahnmedizinBleachingCERECCMDEndodontologieKieferorthopädieKinderzahnmedizinLachgassedierungLaserbehandlungOralchirurgieParodontologieProphylaxe / PZRProthetikSportzahnmedizinVeneersWurzelkanalbehandlungWurzelspitzenresektionZahnersatzZahnfleischbehandlung

Du findest das Behandlungsergebnis toll und möchtest Dich in dieser Praxis behandeln oder beraten lassen? Jetzt Kontakt aufnehmen:

Calendar IconOnline-Termin Kontakt zur Praxis
Vorher Nachher Bild Icon

Vorher-Nachher-Bilder von Dr. med. dent. Kay Zurmühl

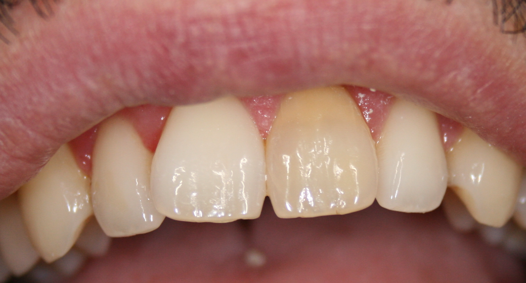
Vorher-Nachher-Bild | Bleaching von Dr. med. dent. Kay Zurmühl | Düsseldorf c0c7c76d Nachher-Bild
Nachher
Vorher-Nachher-Bild | Bleaching von Dr. med. dent. Kay Zurmühl | Düsseldorf c0c7c76d Vorher-Bild
Vorher
Bleaching Dr. Kay Zurmühl Dr. Kay Zurmühl Düsseldorf
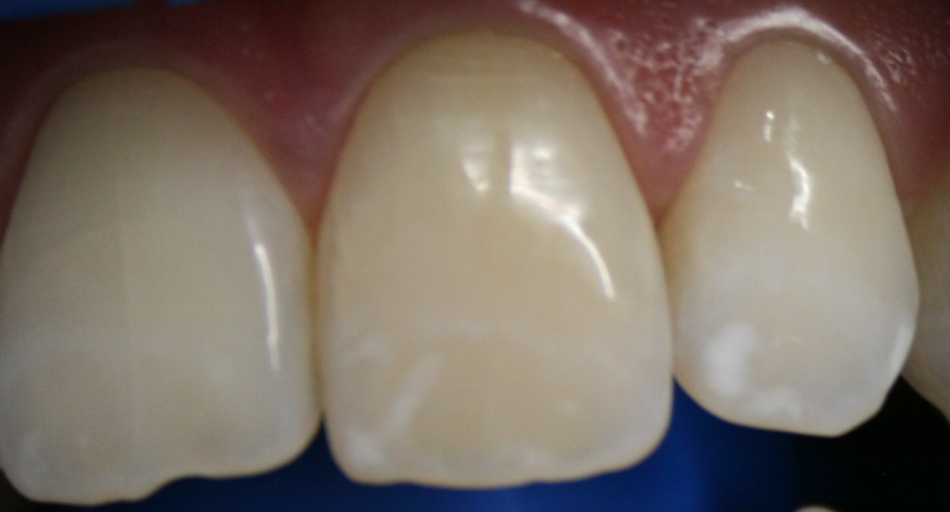
Vorher-Nachher-Bild | Bleaching von Dr. med. dent. Kay Zurmühl | Düsseldorf c0c7c76d Nachher-Bild
Nachher
Vorher-Nachher-Bild | Bleaching von Dr. med. dent. Kay Zurmühl | Düsseldorf c0c7c76d Vorher-Bild
Vorher
Bleaching Dr. Kay Zurmühl Dr. Kay Zurmühl Düsseldorf
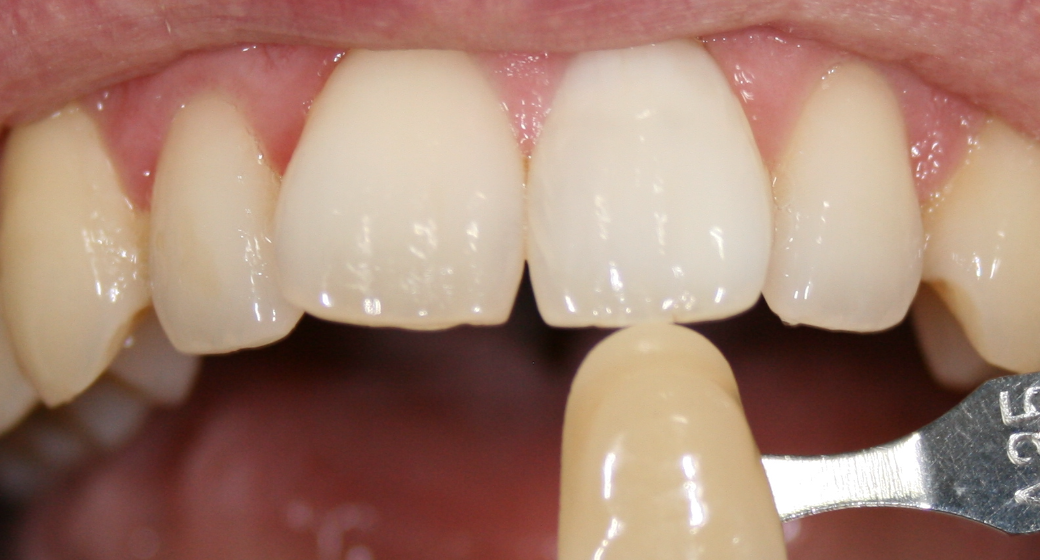
Vorher-Nachher-Bild | Brücken von Dr. med. dent. Kay Zurmühl | Düsseldorf c0c7c76d Nachher-Bild
Nachher
Vorher-Nachher-Bild | Brücken von Dr. med. dent. Kay Zurmühl | Düsseldorf c0c7c76d Vorher-Bild
Vorher
Brücken Dr. Kay Zurmühl Dr. Kay Zurmühl Düsseldorf
Vorher-Nachher-Bild | Bleaching von    | Düsseldorf c0c7c76d Nachher-Bild
Nachher
Vorher-Nachher-Bild | Bleaching von    | Düsseldorf c0c7c76d Vorher-Bild
Vorher
Bleaching Dr. Kay Zurmühl Dr. Kay Zurmühl Düsseldorf

+ 7 weitere Vorher-Nachher-Bilder

Beschreibung Icon

Über Dr. med. dent. Kay Zurmühl

2022 Anstellung im MZV Dr. Zurmühl & Kollegen in der Immermannstrasse 15, 40210 Düsseldorf.

2005 – 2021 Niederlassung in Düssldorf-Oberkassel

2001 – 2005 Niederlassung in Düsseldorf-Grafenberg

1998 – 2001 Assistenzzeit in Wuppertal

1999 Promotion zum Dr. med. dent.

1992 – 1999 Zahnmedizinstudium an der Freien Universität Berlin und an der Humbolduniversität Berlin

1991 – 1992 Wehrdienst

1991 Allgemeine Hochschulreife

Mitgliedscahften Icon

Dr. med. dent. Kay Zurmühl ist Mitglied in folgenden Gesellschaften

  • DGET - Deutsche Gesellschaft für Endodontologie und zahnärztliche Traumatologie
  • DGMKG - Deutsche Gesellschaft für Mund-, Kiefer- und Gesichtschirurgie
  • DGPro - Deutsche Gesellschaft für Prothetische Zahnmedizin und Biomaterialien