Neueste Vorher-Nachher-Bilder

Hier findest Du die drei neuesten Behandlungsfälle, die auf jadento veröffentlicht wurden. Klicke einfach auf das blaue Pfeilsymbol im Bild, um mehr über den Behandlungsfall und den Zahnarzt bzw. die Zahnärztin zu erfahren.

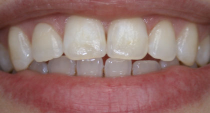
Vorher-Nachher-Bild | Prophylaxe von  Ahmad Saleh | Düsseldorf c0c7c76d Nachher-Bild
Nachher
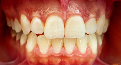
Vorher-Nachher-Bild | Prophylaxe von  Ahmad Saleh | Düsseldorf c0c7c76d Vorher-Bild
Vorher
Prophylaxe  Ahmad Saleh Ahmad Saleh Düsseldorf
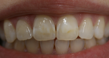
Vorher-Nachher-Bild | Prophylaxe von  Ahmad Saleh | Düsseldorf c0c7c76d Nachher-Bild
Nachher
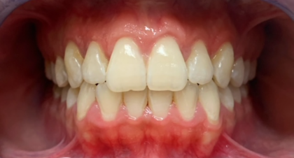
Vorher-Nachher-Bild | Prophylaxe von  Ahmad Saleh | Düsseldorf c0c7c76d Vorher-Bild
Vorher
Prophylaxe  Ahmad Saleh Ahmad Saleh Düsseldorf
Vorher-Nachher-Bild | Bleaching von  Ahmad Saleh | Düsseldorf c0c7c76d Nachher-Bild
Nachher
Vorher-Nachher-Bild | Bleaching von  Ahmad Saleh | Düsseldorf c0c7c76d Vorher-Bild
Vorher
Bleaching+3  Ahmad Saleh Ahmad Saleh Düsseldorf

Wie kannst Du den Erfolg einer ästhetischen Zahnbehandlung am besten beurteilen?

Richtig – indem Du Dir Vorher-Nachher-Bilder der Zähne anschaust. Und zwar von echten Patienten, die von Zahnärzten in Deiner Umgebung behandelt wurden.

Mit Hilfe der Vorher-Nachher-Bilder auf jadento kannst Du genau vergleichen, wie einzelne Zähne oder ganze Zahnreihen vorher ausgesehen haben und welchen sichtbaren ästhetischen Erfolg die Zahnarztbehandlung gebracht hat.

Vorher-Nachher-Bilder finden
Vorher-Nachher-Bild | Kieferorthopädie von  Ahmad Saleh | Düsseldorf c0c7c76d Nachher-Bild
Nachher
Vorher-Nachher-Bild | Kieferorthopädie von  Ahmad Saleh | Düsseldorf c0c7c76d Vorher-Bild
Vorher
Kieferorthopädie+3  Ahmad Saleh Ahmad Saleh Düsseldorf
Vorher-Nachher-Bild | Parodontologie, Veneers  | von drs.  Richard  Kleinsman  | Bocholt  e2c420d9 Nachher-Bild
Nachher
Vorher-Nachher-Bild | Parodontologie, Veneers  | von drs.  Richard  Kleinsman  | Bocholt  e2c420d9 Vorher-Bild
Vorher
Parodontologie+1 Drs. Richard Kleinsman Drs. Richard Kleinsman Bocholt
Vorher-Nachher-Bild von Dr. med. dent. Michael  Rak  | Bernried am Starnberger See d9d4f495 Nachher-Bild
Nachher
Vorher-Nachher-Bild | Kronen  | von Dr. med. dent. Michael  Rak  | Bernried am Starnberger See d9d4f495 Vorher-Bild
Vorher
Kronen Dr.  Dr. Michael Rak Dr. Dr. Michael Rak Bernried am Starnberger See
jadento glücklicher Mann findet seinen neuen Zahnarzt

Der neue Wegweiser zum perfekten Zahnarzt für Dich

Auf jadento veröffentlichen Zahnärzte und Kieferorthopäden Vorher-Nachher-Bilder ihrer Arbeit, um Dir als Patient dabei zu helfen, den besten Zahnarzt für Deine geplante oder gewünschte Behandlung zu finden.

  • 100% echte Behandlungsbilder
  • 100% echte Praxisprofile
  • 100% übersichtlich & einfach

Finde jetzt mit jadento Deinen Zahnarzt in der Nähe

Unsere Suchfunktion bietet Dir drei verschiedene Möglichkeiten, den besten Zahnarzt für Deine individuelle Behandlung zu finden. Suche einfach anhand der Vorher-Nachher-Bilder, nach Zahnarztprofilen oder nach Praxisprofilen.

  • Icon Vorher-Nachher Bild

    Vorher-Nachher-Bilder

  • Icon Zahnarztsuche

    Zahnarztprofile

  • Icon Zahnarztpraxis Suche

    Praxisprofile

Filtere die Vorher-Nachher-Bilder nach Behandlungsarten

Wahrscheinlich weißt Du schon genau, wonach Du suchst. Unsere Suchfunktion ermöglicht Dir deshalb, die veröffentlichten Vorher-Nachher-Bilder nach bestimmten Behandlungen zu filtern. Wenn Du Dich zum Beispiel für Veneers interessierst, kannst Du Dir nur Bilder von Veneers anzeigen lassen.

Warum jadento?

Bilder sagen mehr als Worte. Das Vorher-Nachher-Bild einer ästhetischen Zahnbehandlung zeigt Dir auf den ersten Blick, was wortreiche Beschreibungen von zahnärztlichen Behandlungen niemals so erklären könnten. Und weil Dein Lächeln Dein schönster Schmuck ist (oder werden soll), möchtest Du die Behandlung nicht irgendeinem Zahnarzt anvertrauen.

Genau deshalb gibt es jadento. Hier hast Du die Möglichkeit, gezielt nach Vorher-Nachher-Bildern von echten Behandlungen zu suchen. Ob Veneers, vollkeramischer Zahnersatz oder kieferorthopädische Korrekturen von schiefen Zähnen – auf jadento findest Du ganz leicht den Zahnarzt in Deiner Umgebung, der genau auf diesem Gebiet ein echter Experte ist und Dich mit der entsprechenden Kompetenz beraten und behandeln kann.

Unser neues Suchportal bringt Dich auf einen Klick zum passenden Zahnarzt für Deine Behandlung. Dabei garantieren wir Dir, dass nur seriöse Zahnärzte ihre Bilder einstellen dürfen und es sich ausschließlich um 100% echte Vorher-Nachher-Bilder handelt, deren Veröffentlichung die Patienten selbstverständlich zugestimmt haben.

Finde mit jadento den perfekten Zahnarzt für Deine gewünschte oder geplante Behandlung – los geht’s!

Vorher-Nachher-Bilder finden
jadento glücklicher Mann findet seinen neuen Zahnarzt

Du bist Zahnarzt / Zahnärztin?

Du möchtest Deine Arbeitsergebnisse anhand von Vorher-Nachher-Bildern auf jadento präsentieren und damit neue Patienten gewinnen? Jetzt informieren und kostenfreies Profil erstellen.

Infos für Zahnärzte