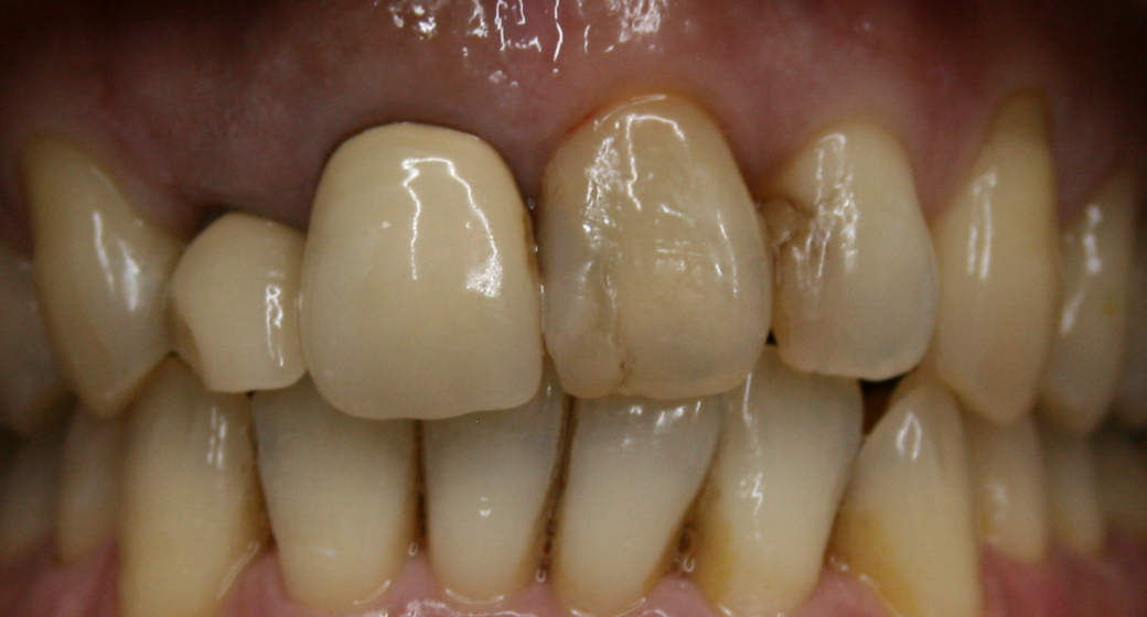
Behandlung Vorher-Nachher-Bild | Brücken von Dr. med. dent. Kay Zurmühl | Düsseldorf c0c7c76d Vorher-Bild
Nachher
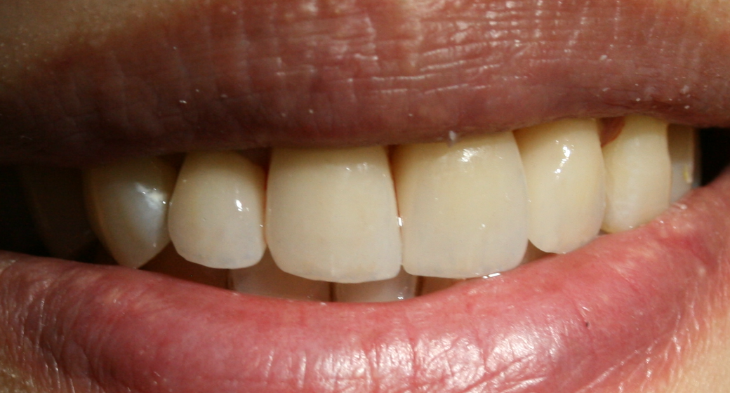
Behandlung Vorher-Nachher-Bild | Brücken von Dr. med. dent. Kay Zurmühl | Düsseldorf c0c7c76d Nachher-Bild
Vorher
1291 Ansichten

Brücken Vorher Nachher

von Dr. med. dent. Kay Zurmühl

Dr. med. dent. Kay Zurmühl  Profilbild
Alle durchgeführten Behandlungen bei diesem Fall: Brücken

Du findest das Behandlungsergebnis toll und möchtest Dich in dieser Praxis behandeln oder beraten lassen? Jetzt Kontakt aufnehmen:

Calendar IconOnline-Termin Kontakt zur Praxis

Befund

Multiple Defekte, fehlende Zähne, parodontale Schädigungen,

Behandlung

Zahnaufhellung, Kronen-, Brückenversorgung