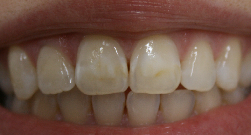
Behandlung Vorher-Nachher-Bild | Bleaching von Dr. med. dent. Kay Zurmühl | Düsseldorf c0c7c76d Vorher-Bild
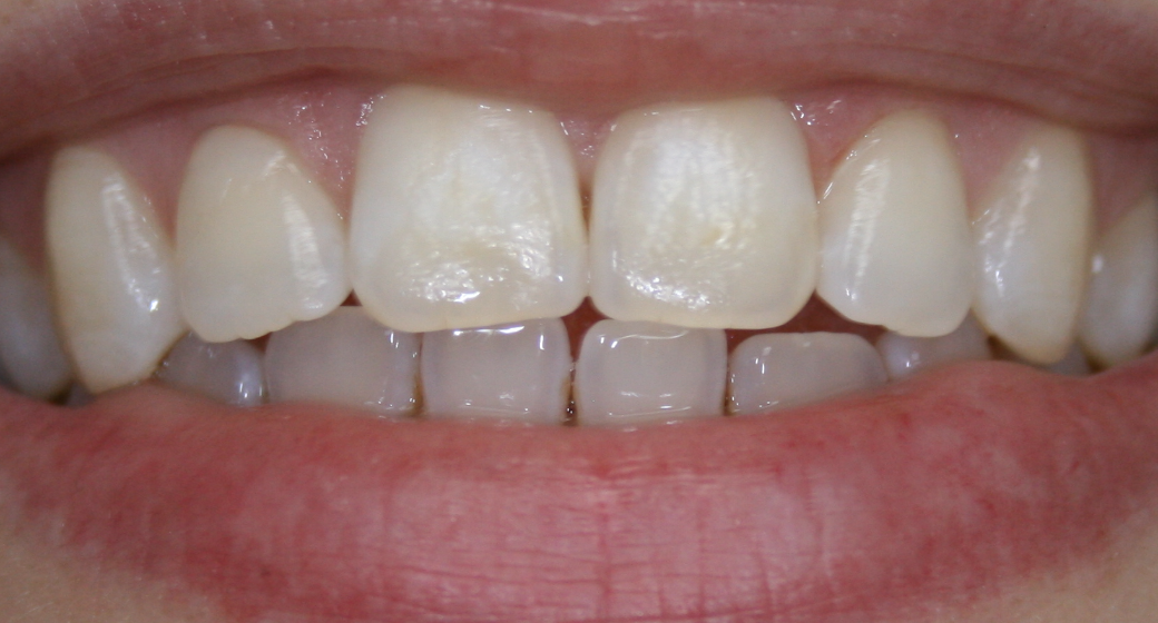
Nachher
Behandlung Vorher-Nachher-Bild | Bleaching von Dr. med. dent. Kay Zurmühl | Düsseldorf c0c7c76d Nachher-Bild
Vorher
1236 Ansichten

Bleaching Vorher Nachher

von Dr. med. dent. Kay Zurmühl

Dr. med. dent. Kay Zurmühl  Profilbild
Alle durchgeführten Behandlungen bei diesem Fall: Bleaching

Du findest das Behandlungsergebnis toll und möchtest Dich in dieser Praxis behandeln oder beraten lassen? Jetzt Kontakt aufnehmen:

Calendar IconOnline-Termin Kontakt zur Praxis