Zahnarzt Ahmad Saleh Profilbild

Zahnarzt Ahmad Saleh

Immermannstraße 15,
40210 Düsseldorf

AngstpatientenBiologische ZahnmedizinBleachingCERECEndodontologieImplantologieKieferorthopädieKinderzahnmedizinLachgassedierungLaserbehandlungMundgeruchtherapieOralchirurgieParodontologieProphylaxe / PZRProthetikSportzahnmedizinVeneersWurzelkanalbehandlungWurzelspitzenresektionZahnersatzZahnfleischbehandlung

Du findest das Behandlungsergebnis toll und möchtest Dich in dieser Praxis behandeln oder beraten lassen? Jetzt Kontakt aufnehmen:

Calendar IconOnline-Termin Kontakt zur Praxis
Vorher Nachher Bild Icon

Vorher-Nachher-Bilder von Ahmad Saleh

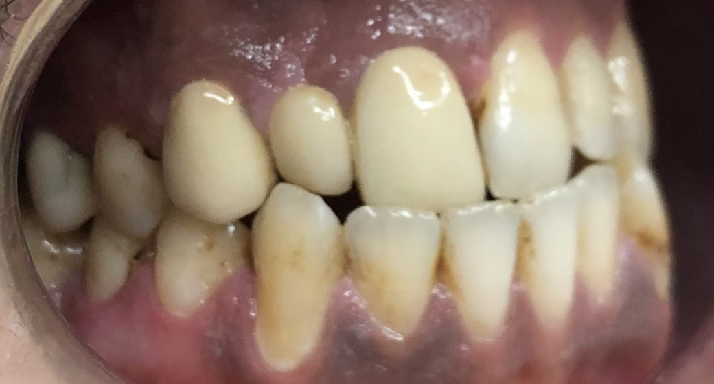
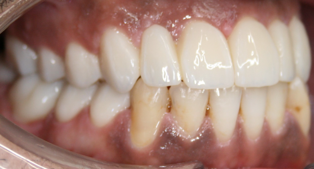
Vorher-Nachher-Bild | Prophylaxe von  Ahmad Saleh | Düsseldorf c0c7c76d Nachher-Bild
Nachher
Vorher-Nachher-Bild | Prophylaxe von  Ahmad Saleh | Düsseldorf c0c7c76d Vorher-Bild
Vorher
Prophylaxe  Ahmad Saleh Ahmad Saleh Düsseldorf
Vorher-Nachher-Bild | Prophylaxe von  Ahmad Saleh | Düsseldorf c0c7c76d Nachher-Bild
Nachher
Vorher-Nachher-Bild | Prophylaxe von  Ahmad Saleh | Düsseldorf c0c7c76d Vorher-Bild
Vorher
Prophylaxe  Ahmad Saleh Ahmad Saleh Düsseldorf
Vorher-Nachher-Bild | Bleaching von  Ahmad Saleh | Düsseldorf c0c7c76d Nachher-Bild
Nachher
Vorher-Nachher-Bild | Bleaching von  Ahmad Saleh | Düsseldorf c0c7c76d Vorher-Bild
Vorher
Bleaching+3  Ahmad Saleh Ahmad Saleh Düsseldorf
Vorher-Nachher-Bild | Brücken von  Ahmad Saleh | Düsseldorf c0c7c76d Nachher-Bild
Nachher
Vorher-Nachher-Bild | Brücken von  Ahmad Saleh | Düsseldorf c0c7c76d Vorher-Bild
Vorher
Brücken+1  Ahmad Saleh Ahmad Saleh Düsseldorf

+ 15 weitere Vorher-Nachher-Bilder

Beschreibung Icon

Über Ahmad Saleh

2022 Anstellung im MZV Dr. Zurmühl & Kollegen in der Immermannstrasse 15, 40210 Düsseldorf.

2021 – 2022 Angestellter Zahnarzt Berlin

2020 Angestellter Zahnarzt Düsseldorf

2018 – 2019 Assistenzzeit in Düsseldorf

2018 Deutsche Approbation Bezirksregierung Düsseldorf

2016 – 2018 angestellter Zahnarzt Düsseldorf Oberkassel

2012 – 2013 Zahnarzt in der chirurgischen Clinic for Oral-Maxillofacial Surgery, Damaskus – Syrien

2007 – 2012 Studium der Zahnmedizin an der International University for Science & Technology Daraa – Syria

2007 Allgemeine Hochschulreife