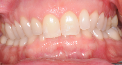
Vorher-Nachher-Bild | Implantate von    | Bielefeld 9461cce2 Nachher-Bild
Nachher
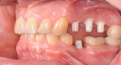
Vorher-Nachher-Bild | Implantate von    | Bielefeld 9461cce2 Vorher-Bild
Vorher
Implantate+2 Dr. Kai Zwanzig Dr. Kai Zwanzig Bielefeld
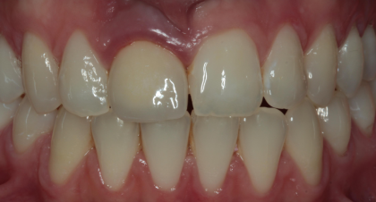
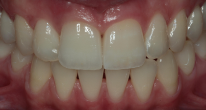
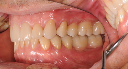
Vorher-Nachher-Bild | Implantate von Dr. med. Dr. med. dent. Michael Rak | Bernried am Starnberger See d9d4f495 Nachher-Bild
Nachher
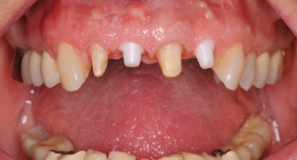
Vorher-Nachher-Bild | Implantate von Dr. med. Dr. med. dent. Michael Rak | Bernried am Starnberger See d9d4f495 Vorher-Bild
Vorher
Implantate+1 Dr.  Dr. Michael Rak Dr. Dr. Michael Rak Bernried am Starnberger See
Vorher-Nachher-Bild | Aligner, All-on-4/6, Brücken, Kronen  | von Dr. med. dent. Kay Zurmühl  | Düsseldorf c0c7c76d Nachher-Bild
Nachher
Vorher-Nachher-Bild | Aligner, All-on-4/6, Brücken, Kronen  | von Dr. med. dent. Kay Zurmühl  | Düsseldorf c0c7c76d Vorher-Bild
Vorher
All-on-4/6+6 Dr. Kay Zurmühl Dr. Kay Zurmühl Düsseldorf
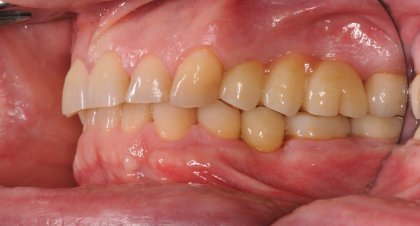
Vorher-Nachher-Bild | Implantate  | von Dr. med. dent.  Gero  Böthig  | Bernried am Starnberger See d9d4f495 Nachher-Bild
Nachher
Vorher-Nachher-Bild | Implantate  | von Dr. med. dent.  Gero  Böthig  | Bernried am Starnberger See d9d4f495 Vorher-Bild
Vorher
Implantate Dr. Gero Böthig Dr. Gero Böthig Bernried am Starnberger See
Vorher-Nachher-Bild | Implantate  | von ZA  Frank Farzin  Falla  MSc. MSc.  | Bonn 0353ab4c Nachher-Bild
Nachher
Vorher-Nachher-Bild | Implantate  | von ZA  Frank Farzin  Falla  MSc. MSc.  | Bonn 0353ab4c Vorher-Bild
Vorher
Implantate  Frank Farzin Falla MSc. MSc. Frank Farzin Falla MSc. MSc. Bonn
Vorher-Nachher-Bild | Brücken, Kronen  | von    | Düsseldorf c0c7c76d Nachher-Bild
Nachher
Vorher-Nachher-Bild | Brücken, Kronen  | von    | Düsseldorf c0c7c76d Vorher-Bild
Vorher
Brücken+3 Dr. Verena Zurmühl Dr. Verena Zurmühl Düsseldorf
Vorher-Nachher-Bild | Brücken, Implantate, Kronen, Parodontologie, Prophylaxe  | von    | Düsseldorf c0c7c76d Nachher-Bild
Nachher
Vorher-Nachher-Bild | Brücken, Implantate, Kronen, Parodontologie, Prophylaxe  | von    | Düsseldorf c0c7c76d Vorher-Bild
Vorher
Brücken+5 Dr. Kay Zurmühl Dr. Kay Zurmühl Düsseldorf
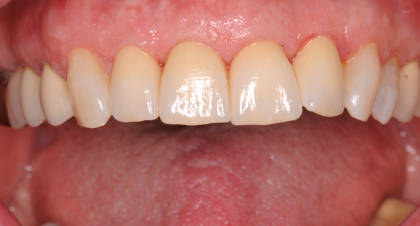
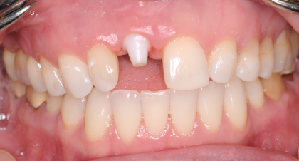
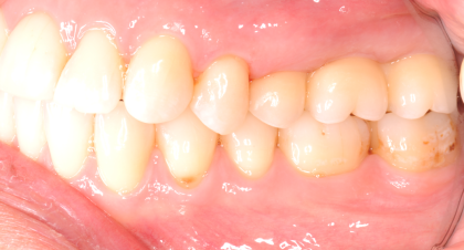
Vorher-Nachher-Bild | Implantate, Kronen  | von Dr. med. dent. Michael  Rak  | Bernried am Starnberger See d9d4f495 Nachher-Bild
Nachher
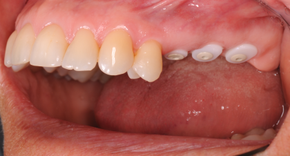
Vorher-Nachher-Bild | Implantate, Kronen  | von Dr. med. dent. Michael  Rak  | Bernried am Starnberger See d9d4f495 Vorher-Bild
Vorher
Implantate+1 Dr.  Dr. Michael Rak Dr. Dr. Michael Rak Bernried am Starnberger See
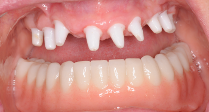
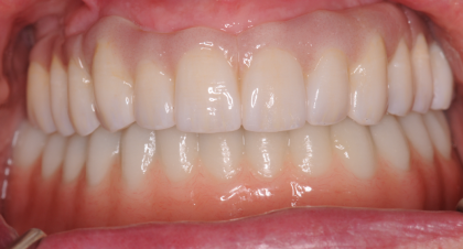
Vorher-Nachher-Bild von Dr. med. dent. Michael  Rak  | Bernried am Starnberger See d9d4f495 Nachher-Bild
Nachher
Vorher-Nachher-Bild von Dr. med. dent. Michael  Rak  | Bernried am Starnberger See d9d4f495 Vorher-Bild
Vorher
Implantate Dr.  Dr. Michael Rak Dr. Dr. Michael Rak Bernried am Starnberger See
Vorher-Nachher-Bild von Dr. med. dent. Michael  Rak  | Bernried am Starnberger See d9d4f495 Nachher-Bild
Nachher
Vorher-Nachher-Bild von Dr. med. dent. Michael  Rak  | Bernried am Starnberger See d9d4f495 Vorher-Bild
Vorher
Implantate+1 Dr.  Dr. Michael Rak Dr. Dr. Michael Rak Bernried am Starnberger See
Vorher-Nachher-Bild von Dr. med. dent. Michael  Rak  | Bernried am Starnberger See d9d4f495 Nachher-Bild
Nachher
Vorher-Nachher-Bild von Dr. med. dent. Michael  Rak  | Bernried am Starnberger See d9d4f495 Vorher-Bild
Vorher
Implantate+1 Dr.  Dr. Michael Rak Dr. Dr. Michael Rak Bernried am Starnberger See
Vorher-Nachher-Bild von Dr. med. dent. Michael  Rak  | Bernried am Starnberger See d9d4f495 Nachher-Bild
Nachher
Vorher-Nachher-Bild von Dr. med. dent. Michael  Rak  | Bernried am Starnberger See d9d4f495 Vorher-Bild
Vorher
Implantate+1 Dr.  Dr. Michael Rak Dr. Dr. Michael Rak Bernried am Starnberger See

Implantate als Basis für lückenlosen, natürlich wirkenden Zahnersatz

Ein Zahn geht verloren, ein neuer wächst nach: Während sich manche Spezies wie Alligatoren, über stetig nachwachsende Zähne freuen können, kommt der Mensch meist nur zweimal in seinem Leben in diesen Genuss. Verliert er einen festen Zahn, bleibt eine Lücke. Glücklicherweise können Experten diese heutzutage problemlos schließen. Möglich wird das durch den Einsatz von künstlichen Zahnwurzeln. Wenn Sie ein Implantat benötigen, finden Sie hier anhand von Vorher Nachher Bildern von eingesetzten Implantaten einen qualifizierten Implantologen in Ihrer Nähe.

Künstliche Zahnwurzeln – das Fundament für den Zahnersatz

Zahnimplantate sind künstliche Zahnwurzeln, die im Kieferknochen verankert werden und nach einer kurzen Einheilzeit mit dem Knochen verwachsen. Auf ihnen werden dann Kronen, Brücken, oder Prothesen befestigt. Nach einer gründlichen Anamnese und Beurteilung der Kiefersituation durch den Implantologen ergo Zahnarzt, erfolgt der minimalinvasive Eingriff in der Regel unter örtlicher Betäubung. Bei Angstpatienten kann gegebenenfalls auch eine Vollnarkose ratsam sein.

Voraussetzung für eine erfolgreiche Implantation ist, dass der Patient über ausreichend Knochenmasse an der Stelle verfügt, an der das Implantat eingesetzt werden soll. Ist dies nicht der Fall, kann ein Knochenaufbau durchgeführt werden. Dazu verwendet der Implantologe entweder patienteneigenes Knochenmaterial, das er meist aus dem Kieferbereich des Patienten, zum Beispiel aus der Weisheitszahnregion, entnimmt, oder Ersatzmaterial. Häufig verwendet der Implantologe hier Ersatzmaterialien aus hochgereinigten Rinderknochen, da diese Knochensubstanz in ihrer Struktur dem natürlichen menschlichen Knochen ähnelt. Welche Methode des Knochenaufbaus in Frage kommt, hängt vom Knochenangebot des Patienten und der Ausgangssituation des Kiefers ab.

Bis das Implantat eingeheilt ist, das heißt sich neue eigene Knochenmasse gebildet hat, die das Implantat fest umschließt, befestigt der Zahnarzt eine nach einem Abdruck angefertigte provisorische Zahnkrone auf dem Implantat. Ist das Implantat vollständig eingeheilt, kann der Patient es wie einen natürlichen Zahn belasten.