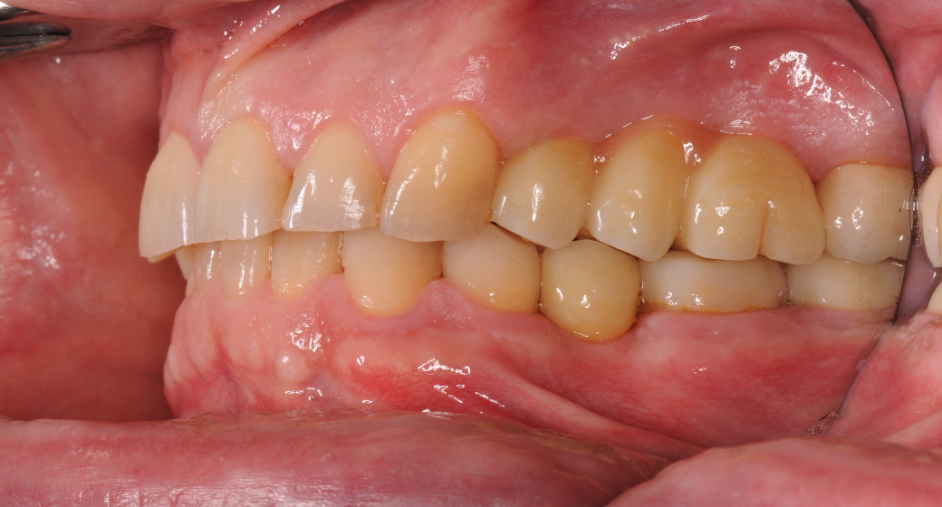
Behandlung Vorher-Nachher-Bild | Implantate  | von Dr. med. dent.  Gero  Böthig  | Bernried am Starnberger See d9d4f495 Vorher-Bild
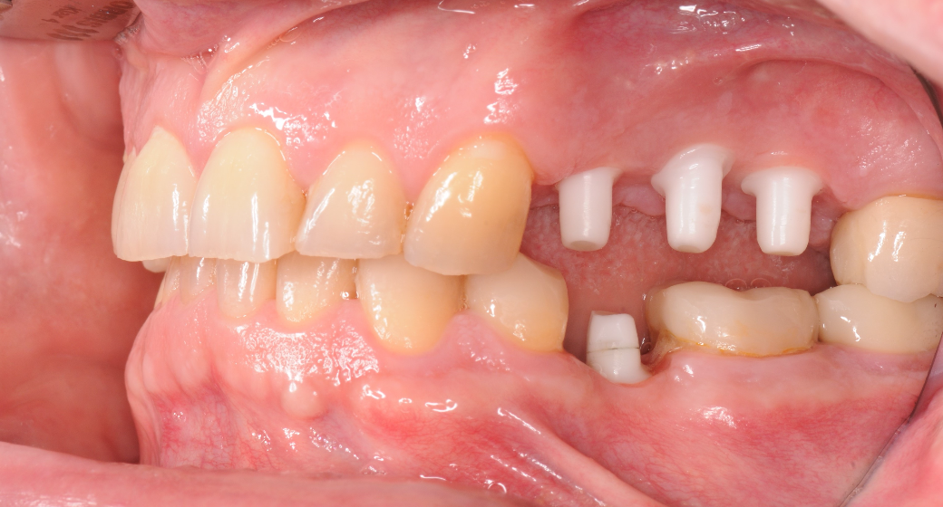
Nachher
Behandlung Vorher-Nachher-Bild | Implantate  | von Dr. med. dent.  Gero  Böthig  | Bernried am Starnberger See d9d4f495 Nachher-Bild
Vorher
946 Ansichten

Implantate Vorher Nachher

von Dr. med. dent. Gero Böthig

Dr. med. dent.  Gero  Böthig  Profilbild
Alle durchgeführten Behandlungen bei diesem Fall: Implantate

Du findest das Behandlungsergebnis toll und möchtest Dich in dieser Praxis behandeln oder beraten lassen? Jetzt Kontakt aufnehmen:

DR Flex IconOnline-Termin (Dr. Flex) Kontakt zur Praxis

Befund

24 Z.n. Endo + Krone - 25 Brückenglied - 26 Brückenglied - 27 Krone; 35 fehlt

Behandlung

Entfernung 24 + keramisches Sofortimplantat - 25 Keramikimplantat - 26 Keramikimplantat + interner Sinuslift; 35 Keramikimplantat Alle Implantate wurden mit Zirkonkronen versorgt.

Patientendaten

männlich, 56 Jahre