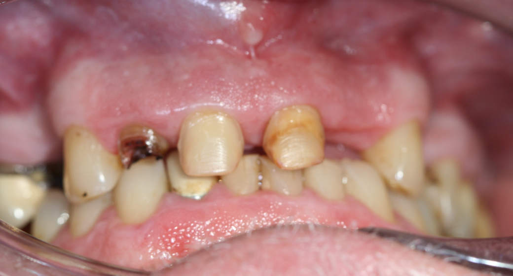
Behandlung Vorher-Nachher-Bild | Aligner, All-on-4/6, Brücken, Kronen  | von Dr. med. dent. Kay Zurmühl  | Düsseldorf c0c7c76d Vorher-Bild
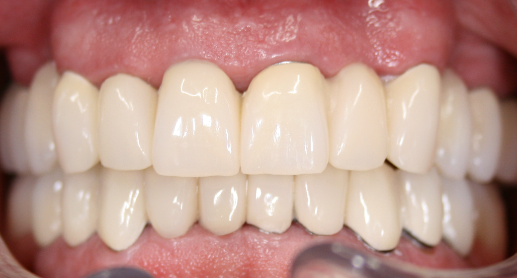
Nachher
Behandlung Vorher-Nachher-Bild | Aligner, All-on-4/6, Brücken, Kronen  | von Dr. med. dent. Kay Zurmühl  | Düsseldorf c0c7c76d Nachher-Bild
Vorher
21871 Ansichten

All-on-4/6 Vorher Nachher

von Dr. med. dent. Kay Zurmühl

Dr. med. dent. Kay Zurmühl  Profilbild
Alle durchgeführten Behandlungen bei diesem Fall: All-on-4/6BrückenImplantateKronenParodontologieProphylaxeVeneers

Du findest das Behandlungsergebnis toll und möchtest Dich in dieser Praxis behandeln oder beraten lassen? Jetzt Kontakt aufnehmen:

Calendar IconOnline-Termin Kontakt zur Praxis

Befund

Multiple Defekte, fehlende Zähne, parodontale Schädigungen,

Behandlung

Bisshebung, CMD Behandlung, komplexe Restauration im Ober- und Unterkiefer