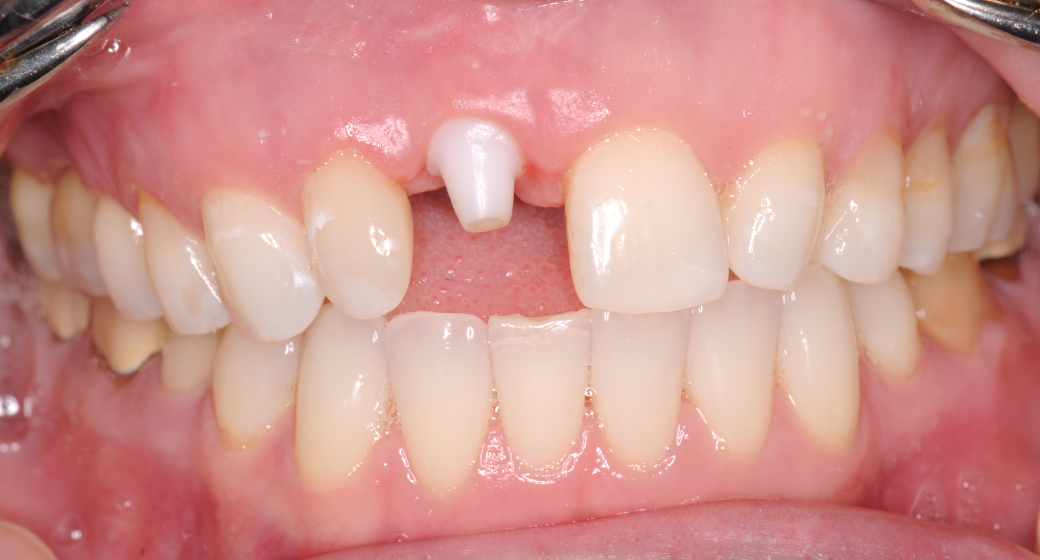
Behandlung Vorher-Nachher-Bild von Dr. med. dent. Michael  Rak  | Bernried am Starnberger See d9d4f495 Vorher-Bild
Nachher
Behandlung Vorher-Nachher-Bild von Dr. med. dent. Michael  Rak  | Bernried am Starnberger See d9d4f495 Nachher-Bild
Vorher
957 Ansichten

Implantate Vorher Nachher

von Dr. med. Dr. med. dent. Michael Rak

Dr. med. Dr. med. dent. Michael  Rak  Profilbild
Alle durchgeführten Behandlungen bei diesem Fall: ImplantateKronen

Du findest das Behandlungsergebnis toll und möchtest Dich in dieser Praxis behandeln oder beraten lassen? Jetzt Kontakt aufnehmen:

DR Flex IconOnline-Termin (Dr. Flex) Kontakt zur Praxis

Befund

(apikal beherdete) entzündete Wurzelkanalbehandelte Zähne

Behandlung

Sofortimplantation mit Keramikimplantat regio 11und Keramikkronenversorgung 11

Patientendaten

weiblich, 42 Jahre