Behandlung Vorher-Nachher-Bild | Brücken, Kronen  | von    | Düsseldorf c0c7c76d Vorher-Bild
Nachher
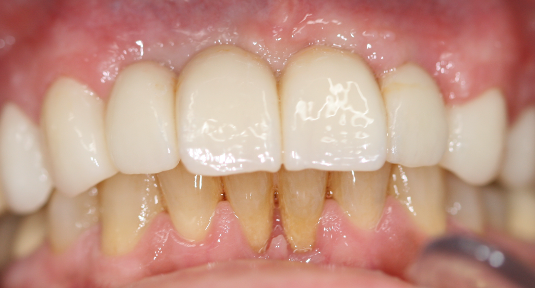
Behandlung Vorher-Nachher-Bild | Brücken, Kronen  | von    | Düsseldorf c0c7c76d Nachher-Bild
Vorher
21996 Ansichten

Brücken Vorher Nachher

von Dr. med. dent. Verena Zurmühl

Dr. med. dent. Verena  Zurmühl Profilbild
Alle durchgeführten Behandlungen bei diesem Fall: BrückenImplantateKronenParodontologie

Du findest das Behandlungsergebnis toll und möchtest Dich in dieser Praxis behandeln oder beraten lassen? Jetzt Kontakt aufnehmen:

Calendar IconOnline-Termin Kontakt zur Praxis

Befund

Multiple Defekte, fehlende Zähne, parodontale Schädigungen,

Behandlung

Parodontale Behandlung, Bißhebung, BG Transplantate,

Patientendaten

Patient