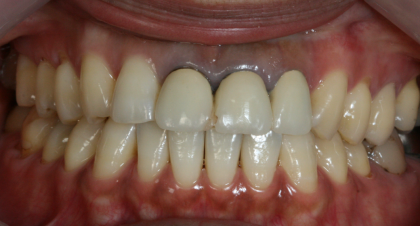
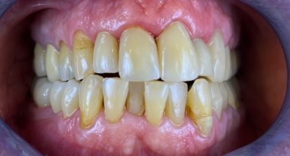
Vorher-Nachher-Bild | Brücken, Kronen  | von Dr. med. dent. Lars Wagenmann | Frechen ab817c93 Nachher-Bild
Nachher
Vorher-Nachher-Bild | Brücken, Kronen  | von Dr. med. dent. Lars Wagenmann | Frechen ab817c93 Vorher-Bild
Vorher
Brücken+1 Dr. Lars Wagenmann Dr. Lars Wagenmann Frechen
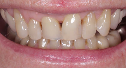
Vorher-Nachher-Bild | Aligner, Brücken, Kronen  | von Dr. med. dent. Kay Zurmühl  | Düsseldorf c0c7c76d Nachher-Bild
Nachher
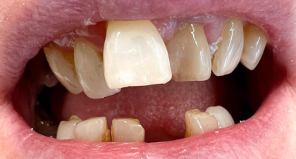
Vorher-Nachher-Bild | Aligner, Brücken, Kronen  | von Dr. med. dent. Kay Zurmühl  | Düsseldorf c0c7c76d Vorher-Bild
Vorher
Brücken+4 Dr. Kay Zurmühl Dr. Kay Zurmühl Düsseldorf
Vorher-Nachher-Bild | Aligner, All-on-4/6, Brücken, Kronen  | von Dr. med. dent. Kay Zurmühl  | Düsseldorf c0c7c76d Nachher-Bild
Nachher
Vorher-Nachher-Bild | Aligner, All-on-4/6, Brücken, Kronen  | von Dr. med. dent. Kay Zurmühl  | Düsseldorf c0c7c76d Vorher-Bild
Vorher
All-on-4/6+6 Dr. Kay Zurmühl Dr. Kay Zurmühl Düsseldorf
Vorher-Nachher-Bild | Brücken  | von    | Düsseldorf c0c7c76d Nachher-Bild
Nachher
Vorher-Nachher-Bild | Brücken  | von    | Düsseldorf c0c7c76d Vorher-Bild
Vorher
Brücken+1 Dr. Kay Zurmühl Dr. Kay Zurmühl Düsseldorf
Vorher-Nachher-Bild | Brücken, Kronen  | von    | Düsseldorf c0c7c76d Nachher-Bild
Nachher
Vorher-Nachher-Bild | Brücken, Kronen  | von    | Düsseldorf c0c7c76d Vorher-Bild
Vorher
Brücken+3 Dr. Verena Zurmühl Dr. Verena Zurmühl Düsseldorf
Vorher-Nachher-Bild | Brücken, Implantate, Kronen, Parodontologie, Prophylaxe  | von    | Düsseldorf c0c7c76d Nachher-Bild
Nachher
Vorher-Nachher-Bild | Brücken, Implantate, Kronen, Parodontologie, Prophylaxe  | von    | Düsseldorf c0c7c76d Vorher-Bild
Vorher
Brücken+5 Dr. Kay Zurmühl Dr. Kay Zurmühl Düsseldorf
Vorher-Nachher-Bild | Brücken, Füllung, Kronen, Parodontologie, Prophylaxe, Veneers  | von    | Düsseldorf c0c7c76d Nachher-Bild
Nachher
Vorher-Nachher-Bild | Brücken, Füllung, Kronen, Parodontologie, Prophylaxe, Veneers  | von    | Düsseldorf c0c7c76d Vorher-Bild
Vorher
Bleaching+7 Dr. Verena Zurmühl Dr. Verena Zurmühl Düsseldorf
Vorher-Nachher-Bild | Brücken, Kronen  | von ZA Wojtek  Honnefelder  | Krefeld b53b3a3d Nachher-Bild
Nachher
Vorher-Nachher-Bild | Brücken, Kronen  | von ZA Wojtek  Honnefelder  | Krefeld b53b3a3d Vorher-Bild
Vorher
Brücken  Wojtek Honnefelder Wojtek Honnefelder Krefeld
Vorher-Nachher-Bild | Brücken, Kronen, Parodontologie  | von ZA Jubin Banivaheb  | Düsseldorf  a5bfc9e0 Nachher-Bild
Nachher
Vorher-Nachher-Bild | Brücken, Kronen, Parodontologie  | von ZA Jubin Banivaheb  | Düsseldorf  a5bfc9e0 Vorher-Bild
Vorher
Brücken+2 ZA Jubin Banivaheb ZA Jubin Banivaheb Düsseldorf
Vorher-Nachher-Bild | Brücken, Implantate  | von Dr. med. dent.  Ulf  Schladebach  | Paderborn  32bb90e8 Nachher-Bild
Nachher
Vorher-Nachher-Bild | Brücken, Implantate  | von Dr. med. dent.  Ulf  Schladebach  | Paderborn  32bb90e8 Vorher-Bild
Vorher
Brücken+1 Dr. Ulf Schladebach Dr. Ulf Schladebach Paderborn
Vorher-Nachher-Bild | Implantate  | von Dr. med. dent.  Alexander Vuck  | Düsseldorf  14bfa6bb Nachher-Bild
Nachher
Vorher-Nachher-Bild | Implantate  | von Dr. med. dent.  Alexander Vuck  | Düsseldorf  14bfa6bb Vorher-Bild
Vorher
Brücken+2 Dr. Alexander Vuck Dr. Alexander Vuck Düsseldorf
Vorher-Nachher-Bild | Brücken, Kronen  | von  Jubin Banivaheb  | Düsseldorf  a5bfc9e0 Nachher-Bild
Nachher
Vorher-Nachher-Bild | Brücken, Kronen  | von  Jubin Banivaheb  | Düsseldorf  a5bfc9e0 Vorher-Bild
Vorher
Brücken+1 ZA Jubin Banivaheb ZA Jubin Banivaheb Düsseldorf

Die Brücke schließt die Lücke: Zahnbrücken als Zahnersatz

Anker, Pfeiler, Zement, Brücke: Was nach einer Konstruktion auf der Baustelle klingt, sind tatsächlich Begriffe, die auch ein Zahnarzt verwendet. Meist dann, wenn er eine Zahnlücke schließen muss. Anhand der dargestellten Vorher Nachher Bilder können Sie ganz einfach den Zahnarzt Ihres Vertrauens finden, um mit ihm die Möglichkeiten eines Zahnersatzes zu besprechen.

Um Zahnlücken zu schließen, gibt es mehrere Möglichkeiten. Eine davon: Die Brücke. Wie der Name bereits sagt, handelt es sich dabei um eine Überbrückung, um zum Beispiel eine unterbrochene Zahnreihe zu stabilisieren, oder die Kaufunktion wiederherzustellen. Brücken sind eine bewährte und langlebige Lösung des Zahnersatzes.

Ablauf beim Zahnarzt

Damit diese Konstruktion hält, überprüft der Zahnarzt zuvor die Nachbarzähne auf ihre Eignung als Pfeilerzähne (Brückenanker). Diese werden dann überkront, sprich der Zahnarzt präpariert und beschleift sie so, dass sie die Ankerkronen gut tragen können. Meistens erfolgt die Befestigung an Vollkronen, da diese am stabilsten sind. Bei gesunden Pfeilerzähnen kommt aber auch die Befestigung mit einer Teilkrone oder einem Inlay in Frage. Der Vorteil: Der Zahnarzt muss weniger Zahnsubstanz abtragen. Allerdings ist diese Brückenvariante nicht so langlebig wie eine Befestigung mit Vollkronen. Laut der wissenschaftlichen Leitlinie der Deutschen Gesellschaft für Zahn-, Mund- und Kieferheilkunde (DGZMK) weisen konventionelle Brücken hohe Überlebenswahrscheinlichkeiten von 87 bis 89 Prozent nach zehn Jahren, rund 75 Prozent nach 15 Jahren und 50 Prozent nach 20 Jahren auf.

Auch Implantate (künstliche Zahnwurzeln) können als Brückenpfeiler fungieren (Implantatbrücke). Fehlen dem Patienten mehrere Zähne, empfiehlt sich die All-on-4 ® / All-on-6 ® Methode. Da Brücken – wie Kronen – aus Metall und/oder Keramik hergestellt werden, muss der Zahnarzt auch hier einen Abdruck von der präparierten Stelle und vom Gegenkiefer nehmen. Bis der Zahntechniker die Brücke fertiggestellt hat, trägt der Patient ein Provisorium aus Kunststoff. In der nächsten Sitzung wird die Brücke anprobiert und gegebenenfalls korrigiert, bevor sie final eingesetzt wird.