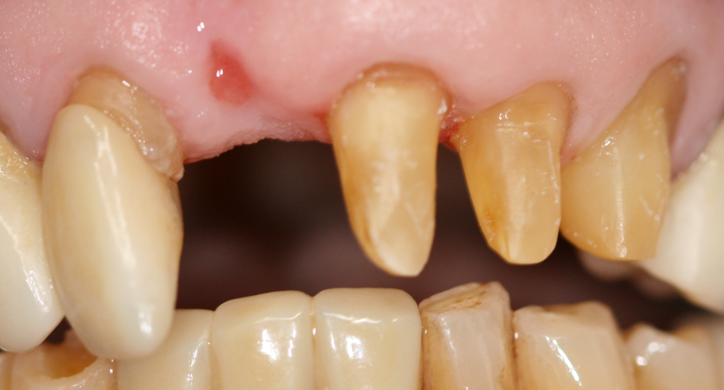
Behandlung Vorher-Nachher-Bild | Brücken  | von    | Düsseldorf c0c7c76d Vorher-Bild
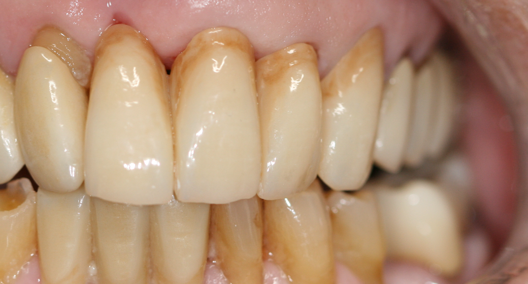
Nachher
Behandlung Vorher-Nachher-Bild | Brücken  | von    | Düsseldorf c0c7c76d Nachher-Bild
Vorher
21891 Ansichten

Brücken Vorher Nachher

von Dr. med. dent. Kay Zurmühl

Dr. med. dent. Kay Zurmühl  Profilbild
Alle durchgeführten Behandlungen bei diesem Fall: BrückenParodontologie

Du findest das Behandlungsergebnis toll und möchtest Dich in dieser Praxis behandeln oder beraten lassen? Jetzt Kontakt aufnehmen:

Calendar IconOnline-Termin Kontakt zur Praxis

Befund

traumabedingter Zahnverlust

Behandlung

Minimalinvasive Brückenversorgung

Patientendaten

Patientin