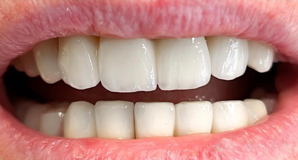
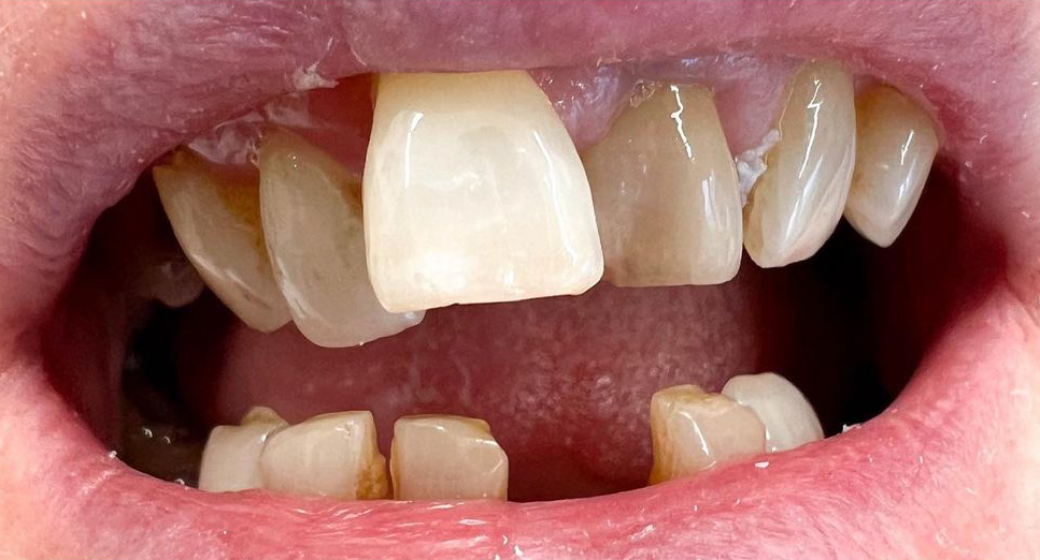
Behandlung Vorher-Nachher-Bild | Brücken, Kronen  | von Dr. med. dent. Lars Wagenmann | Frechen ab817c93 Vorher-Bild
Nachher
Behandlung Vorher-Nachher-Bild | Brücken, Kronen  | von Dr. med. dent. Lars Wagenmann | Frechen ab817c93 Nachher-Bild
Vorher
1440 Ansichten

Brücken Vorher Nachher

von Dr. med. dent. Lars Wagenmann

Dr. med. dent. Lars Wagenmann Profilbild
Alle durchgeführten Behandlungen bei diesem Fall: BrückenKronen

Du findest das Behandlungsergebnis toll und möchtest Dich in dieser Praxis behandeln oder beraten lassen? Jetzt Kontakt aufnehmen:

Kontakt zur Praxis

Befund

Im Laufe des Lebens können sich Zähne teilweise extrem verschieben. In diesem Fall führte es zu einer starken ästhetischen Beeinträchtigung beim Lachen sowie zu Funktionsstörungen im Biss.

Behandlung

Durch eine Komplettsanierung mit vollkeramischen, handgeschichteten Kronen und Brücken haben wir dieser netten Dame ein neues, schönes Lächeln kreieren dürfen. ⁠