Zahnärztin Tina Donnerstag Profilbild

Zahnärztin Tina Donnerstag

Bitzweg 13,
74924 Neckarbischofsheim

AlignerAngstpatientenÄsthetische ZahnmedizinBleachingEndodontologieImplantologieKieferorthopädieKinderzahnmedizinLachgassedierungParodontologieProphylaxe / PZRProthetikVeneersWurzelkanalbehandlungZahnersatzZahnfleischbehandlung

Du findest das Behandlungsergebnis toll und möchtest Dich in dieser Praxis behandeln oder beraten lassen? Jetzt Kontakt aufnehmen:

Kontakt zur Praxis
Vorher Nachher Bild Icon

Vorher-Nachher-Bilder von Tina Donnerstag

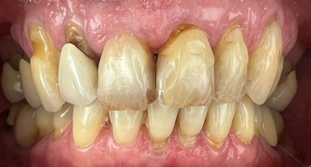
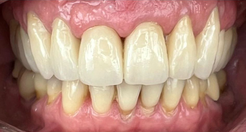
Vorher-Nachher-Bild | Kronen von Zahnärztin Tina Donnerstag | Neckarbischofsheim c7635bfd Nachher-Bild
Nachher
Vorher-Nachher-Bild | Kronen von Zahnärztin Tina Donnerstag | Neckarbischofsheim c7635bfd Vorher-Bild
Vorher
Kronen  Tina Donnerstag Tina Donnerstag Neckarbischofsheim
Vorher-Nachher-Bild | Brücken von Zahnärztin Tina Donnerstag | Neckarbischofsheim c7635bfd Nachher-Bild
Nachher
Vorher-Nachher-Bild | Brücken von Zahnärztin Tina Donnerstag | Neckarbischofsheim c7635bfd Vorher-Bild
Vorher
Brücken  Tina Donnerstag Tina Donnerstag Neckarbischofsheim
Vorher-Nachher-Bild | Aligner von Zahnärztin Tina Donnerstag | Neckarbischofsheim c7635bfd Nachher-Bild
Nachher
Vorher-Nachher-Bild | Aligner von Zahnärztin Tina Donnerstag | Neckarbischofsheim c7635bfd Vorher-Bild
Vorher
Aligner  Tina Donnerstag Tina Donnerstag Neckarbischofsheim
Beschreibung Icon

Über Tina Donnerstag

Zahnärztin Tina Donnerstag ist für Ihre Zahnerhaltung zuständig. Gesundes Zahnfleisch und Kariesfreie Zähne sind ihr Ziel. Dabei setzt sie auf moderne Behandlungsmethoden, wie das Intraorale Scannen für den abdruckfreien Zahnersatz. Angstpatienten sind ihr eine Herzensangelegenheit.