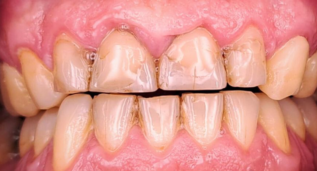
Behandlung Vorher-Nachher-Bild | Brücken von Zahnärztin Tina Donnerstag | Neckarbischofsheim c7635bfd Vorher-Bild
Nachher
Behandlung Vorher-Nachher-Bild | Brücken von Zahnärztin Tina Donnerstag | Neckarbischofsheim c7635bfd Nachher-Bild
Vorher
1085 Ansichten

Brücken Vorher Nachher

von Tina Donnerstag

Zahnärztin Tina Donnerstag Profilbild
Alle durchgeführten Behandlungen bei diesem Fall: Brücken

Du findest das Behandlungsergebnis toll und möchtest Dich in dieser Praxis behandeln oder beraten lassen? Jetzt Kontakt aufnehmen:

Kontakt zur Praxis

Befund

Abgeschwächte Funktionalität und Stabilität

Behandlung

Im Seitenzahnbereich wurden zwei Brücken eingesetzt, die nicht nur Stabilität und Funktionalität wiederherstellen, sondern auch die Ästhetik verbessern. Im Frontzahnbereich haben wir die alten Füllungen durch moderne, langlebige Materialien ersetzt. Durch diese umfassende Behandlung wurde der Biss angehoben, was nicht nur die Kiefergelenke entlastet, sondern auch das gesamte Erscheinungsbild harmonisiert.

Patientendaten

Weiblich