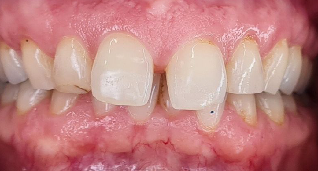
Behandlung Vorher-Nachher-Bild | Aligner von Zahnärztin Tina Donnerstag | Neckarbischofsheim c7635bfd Vorher-Bild
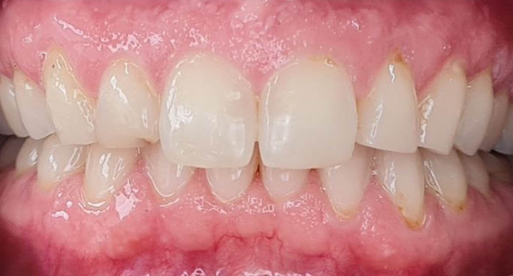
Nachher
Behandlung Vorher-Nachher-Bild | Aligner von Zahnärztin Tina Donnerstag | Neckarbischofsheim c7635bfd Nachher-Bild
Vorher
1022 Ansichten

Aligner Vorher Nachher

von Tina Donnerstag

Zahnärztin Tina Donnerstag Profilbild
Alle durchgeführten Behandlungen bei diesem Fall: Aligner

Du findest das Behandlungsergebnis toll und möchtest Dich in dieser Praxis behandeln oder beraten lassen? Jetzt Kontakt aufnehmen:

Kontakt zur Praxis

Befund

Zahnfehlstellung

Behandlung

Unser Patient hat sich für die Aligner entschieden, um seine Zähne sanft und effektiv zu begradigen. Die fast unsichtbaren Schienen waren die perfekte Lösung für seinen Alltag – komfortabel, herausnehmbar und nahezu unsichtbar! 🌟 Während der gesamten Therapie hat unser Team ihn eng begleitet und regelmäßig überprüft, um sicherzustellen, dass alles nach Plan verläuft. Das Endergebnis? Ein wunderschönes, gerades Lächeln, das das Selbstbewusstsein unseres Patienten enorm gesteigert hat! 🦷❤️ Behandlungsdauer: 13 Monate, Anzahl der Schienen: 28

Patientendaten

Männlich