Behandlung Vorher-Nachher-Bild | Prophylaxe von  Ahmad Saleh | Düsseldorf c0c7c76d Vorher-Bild
Nachher
Behandlung Vorher-Nachher-Bild | Prophylaxe von  Ahmad Saleh | Düsseldorf c0c7c76d Nachher-Bild
Vorher
47 Ansichten

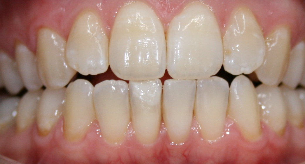
Prophylaxe Vorher Nachher

von Ahmad Saleh

Zahnarzt Ahmad Saleh Profilbild
Alle durchgeführten Behandlungen bei diesem Fall: Prophylaxe

Du findest das Behandlungsergebnis toll und möchtest Dich in dieser Praxis behandeln oder beraten lassen? Jetzt Kontakt aufnehmen:

Calendar IconOnline-Termin Kontakt zur Praxis

Behandlung

Icon Behandlung