Zahnarztpraxislogo Placeholder

Zahnarztpraxis ZAHNBLICK Herne

Schaeferstraße 6,
44623 Herne

Du findest das Behandlungsergebnis toll und möchtest Dich in dieser Praxis behandeln oder beraten lassen? Jetzt Kontakt aufnehmen:

Kontakt zur Praxis
Vorher Nachher Bild Icon

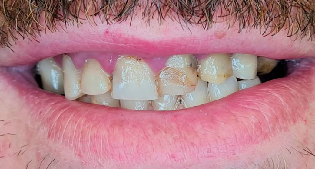
Vorher-Nachher-Bilder der Praxis: ZAHNBLICK Herne

Vorher-Nachher-Bild | Kronen von Zahnarzt Ezzat Alnahlawi | Herne 3cf166c6 Nachher-Bild
Nachher
Vorher-Nachher-Bild | Kronen von Zahnarzt Ezzat Alnahlawi | Herne 3cf166c6 Vorher-Bild
Vorher
Kronen+1  Ezzat Alnahlawi Ezzat Alnahlawi Herne
Vorher-Nachher-Bild | Kronen von Zahnarzt Ezzat Alnahlawi | Herne 3cf166c6 Nachher-Bild
Nachher
Vorher-Nachher-Bild | Kronen von Zahnarzt Ezzat Alnahlawi | Herne 3cf166c6 Vorher-Bild
Vorher
Kronen+1  Ezzat Alnahlawi Ezzat Alnahlawi Herne
Vorher-Nachher-Bild | Kronen von Zahnarzt Ezzat Alnahlawi | Herne 3cf166c6 Nachher-Bild
Nachher
Vorher-Nachher-Bild | Kronen von Zahnarzt Ezzat Alnahlawi | Herne 3cf166c6 Vorher-Bild
Vorher
Kronen  Ezzat Alnahlawi Ezzat Alnahlawi Herne
Sprechzeiten Icon

Sprechzeiten

  • Heute

    Montag

    8:00 - 12:00
    14:00 - 19:00
  • Heute

    Dienstag

    8:00 - 12:00
    14:00 - 19:00
  • Heute

    Mittwoch

    8:00 - 13:00
  • Heute

    Donnerstag

    8:00 - 12:00
    14:00 - 19:00
  • Heute

    Freitag

    8:00 - 13:00
    Beschreibung Icon

    Praxisbeschreibung

    Moderne Zahnheilkunde & -ästhetik – Zahnarzt Ezzat Alnahlawi

    In unserer Praxis erwartet Sie eine qualitativ hochwertige zahnmedizinische Versorgung. Wir bieten Ihnen ein breites Leistungsspektrum mit Fokus auf Zahnvorsorge, Zahnerhalt und Zahnkorrektur. Dabei legen wir besonderen Wert auf eine moderne Behandlungstechnik und individuelle Beratung. Unser Team ist stets aufmerksam und einfühlsam im Umgang mit unseren Patienten. Bei uns stehen Sie im Mittelpunkt.

    Unser Ziel ist es, Ihnen zu einem gesunden und schönen Lächeln zu verhelfen und Ihre Mundgesundheit langfristig zu erhalten. Wir legen großen Wert darauf, dass Sie sich bei uns in guten Händen fühlen und mit einem zufriedenen Lächeln unsere Praxis verlassen.

    Herzlich willkommen!

    Wir freuen uns über Ihren Besuch in der Schaeferstraße in Herne.

    Ihr Ezzat Alnahlawi & Team

    Map Icon

    Standort ZAHNBLICK Herne