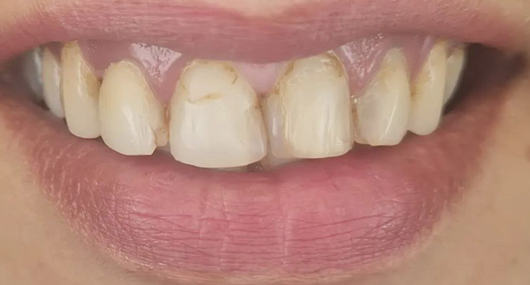
Behandlung Vorher-Nachher-Bild | Kronen von Zahnarzt Ezzat Alnahlawi | Herne 3cf166c6 Vorher-Bild
Nachher
Behandlung Vorher-Nachher-Bild | Kronen von Zahnarzt Ezzat Alnahlawi | Herne 3cf166c6 Nachher-Bild
Vorher
516 Ansichten

Kronen Vorher Nachher

von Ezzat Alnahlawi

Zahnarztbild Placeholder
Alle durchgeführten Behandlungen bei diesem Fall: KronenImplantate

Du findest das Behandlungsergebnis toll und möchtest Dich in dieser Praxis behandeln oder beraten lassen? Jetzt Kontakt aufnehmen:

Kontakt zur Praxis

Befund

Infos folgen

Behandlung

Infos folgen

Patientendaten

Weiblich