Logo

Zahnarztpraxis Zahn Spa Zahnarztpraxis Falla MSc. MSc.

OxfordstraĂźe 12-16,
53111 Bonn

Du findest das Behandlungsergebnis toll und möchtest Dich in dieser Praxis behandeln oder beraten lassen? Jetzt Kontakt aufnehmen:

Kontakt zur Praxis
Vorher Nachher Bild Icon

Vorher-Nachher-Bilder der Praxis: Zahn Spa Zahnarztpraxis Falla MSc. MSc.

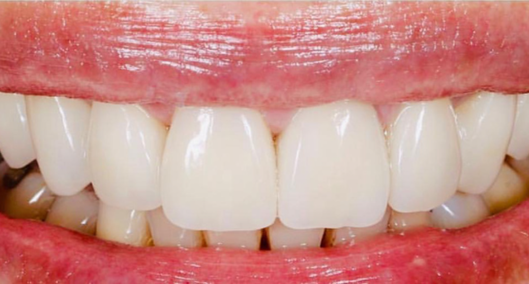
Vorher-Nachher-Bild von ZA  Frank Farzin  Falla  MSc. MSc.  | Bonn 0353ab4c Nachher-Bild
Nachher
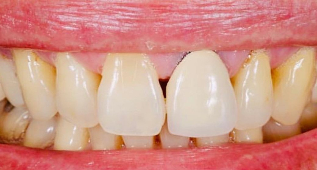
Vorher-Nachher-Bild von ZA  Frank Farzin  Falla  MSc. MSc.  | Bonn 0353ab4c Vorher-Bild
Vorher
 Frank Farzin Falla MSc. MSc. Frank Farzin Falla MSc. MSc. Bonn
Vorher-Nachher-Bild | Implantate  | von ZA  Frank Farzin  Falla  MSc. MSc.  | Bonn 0353ab4c Nachher-Bild
Nachher
Vorher-Nachher-Bild | Implantate  | von ZA  Frank Farzin  Falla  MSc. MSc.  | Bonn 0353ab4c Vorher-Bild
Vorher
Implantate  Frank Farzin Falla MSc. MSc. Frank Farzin Falla MSc. MSc. Bonn
Vorher-Nachher-Bild von ZA  Frank Farzin  Falla  MSc. MSc.  | Bonn 0353ab4c Nachher-Bild
Nachher
Vorher-Nachher-Bild von ZA  Frank Farzin  Falla  MSc. MSc.  | Bonn 0353ab4c Vorher-Bild
Vorher
Veneers  Frank Farzin Falla MSc. MSc. Frank Farzin Falla MSc. MSc. Bonn
Sprechzeiten Icon

Sprechzeiten

  • Heute

    Montag

    09:00 - 13:00
    14:00 - 18:00
  • Heute

    Dienstag

    09:00 - 13:00
    14:00 - 18:00
  • Heute

    Mittwoch

    09:00 - 15:00
    -
  • Heute

    Donnerstag

    09:00 - 13:00
    14:00 - 18:00
  • Heute

    Freitag

    09:00 - 13:00
    14:00 - 18:00
    Beschreibung Icon

    Praxisbeschreibung

    Zahn S.P.A. Tätigkeitsschwerpunkte zahnärztliche Schlafmedizin – Prothetik – Aesthetische Zahnheilkunde, wir bieten Ihnen besondere Leistungen und hohe Qualitätsstandards. In unserer Zahnarztpraxis in Bonn Zentrum bieten wir Ihnen ein Behandlungsspektrum, das alle Bereiche der Zahnmedizin umfasst.

    Sowohl Kassen- als auch Privatpatienten behandeln wir in stilvollem Ambiente und mit höchster Kompetenz. Von der klassischen Vorsorge, über die Prophylaxe, Endodontie, Parodontologie, Behandlung in Vollnarkose, Implantologie bis hin zu ästhetischen Zahnheilkunde – bei uns steht Ihre Mundgesundheit und die Ästhetik Ihrer Zähne an erster Stelle.

    Map Icon

    Standort Zahn Spa Zahnarztpraxis Falla MSc. MSc.

     Logo