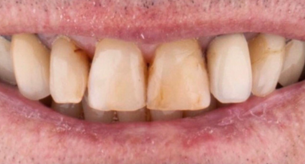
Behandlung Vorher-Nachher-Bild von ZA  Frank Farzin  Falla  MSc. MSc.  | Bonn 0353ab4c Vorher-Bild
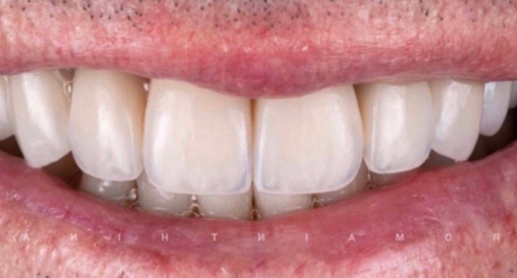
Nachher
Behandlung Vorher-Nachher-Bild von ZA  Frank Farzin  Falla  MSc. MSc.  | Bonn 0353ab4c Nachher-Bild
Vorher
727 Ansichten

Veneers Vorher Nachher

von Frank Farzin Falla MSc. MSc.

ZA  Frank Farzin  Falla  MSc. MSc.  Profilbild
Alle durchgeführten Behandlungen bei diesem Fall: Veneers

Du findest das Behandlungsergebnis toll und möchtest Dich in dieser Praxis behandeln oder beraten lassen? Jetzt Kontakt aufnehmen:

Kontakt zur Praxis