Kleinsman / Varzideh dental center  Logo

Zahnarztpraxis Kleinsman / Varzideh dental center

Casinowall 1-3 ,
46399 Bocholt

Du findest das Behandlungsergebnis toll und möchtest Dich in dieser Praxis behandeln oder beraten lassen? Jetzt Kontakt aufnehmen:

Kontakt zur Praxis
Vorher Nachher Bild Icon

Vorher-Nachher-Bilder der Praxis: Kleinsman / Varzideh dental center

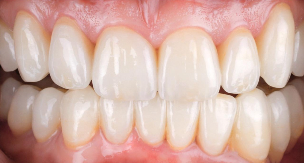
Vorher-Nachher-Bild | Veneers  | von Drs.  Richard  Kleinsman  | Bocholt  e2c420d9 Nachher-Bild
Nachher
Vorher-Nachher-Bild | Veneers  | von Drs.  Richard  Kleinsman  | Bocholt  e2c420d9 Vorher-Bild
Vorher
Veneers Drs. Richard Kleinsman Drs. Richard Kleinsman Bocholt
Vorher-Nachher-Bild | Kronen  | von Drs.  Richard  Kleinsman  | Bocholt  e2c420d9 Nachher-Bild
Nachher
Vorher-Nachher-Bild | Kronen  | von Drs.  Richard  Kleinsman  | Bocholt  e2c420d9 Vorher-Bild
Vorher
Kronen Drs. Richard Kleinsman Drs. Richard Kleinsman Bocholt
Vorher-Nachher-Bild | Parodontologie, Veneers  | von drs.  Richard  Kleinsman  | Bocholt  e2c420d9 Nachher-Bild
Nachher
Vorher-Nachher-Bild | Parodontologie, Veneers  | von drs.  Richard  Kleinsman  | Bocholt  e2c420d9 Vorher-Bild
Vorher
Parodontologie+1 Drs. Richard Kleinsman Drs. Richard Kleinsman Bocholt
Sprechzeiten Icon

Sprechzeiten

  • Heute

    Montag

    07:30 - 17:30
  • Heute

    Dienstag

    07:30 - 17:30
  • Heute

    Mittwoch

    07:30 - 17:30
  • Heute

    Donnerstag

    07:30 - 17:30
  • Heute

    Freitag

    07:30 - 17:30
    Beschreibung Icon

    Praxisbeschreibung

    Seit mehr als 25 Jahren trifft bei uns kompromisslose Qualität auf zahnmedizinisches Know-how. So begleiten wir unsere Patienten auf Ihrem Weg. Zu einem Ergebnis, mit dem Sie vollkommen zufrieden sein können. Denn schöne und gesunde Zähne erhöhen die Lebensqualität. Vertrauen Sie darauf, dass Sie durchgehend die fachzahnärztliche Kompetenz erhalten, die für Ihr Behandlungsziel genau die richtige ist.

    Mitgliedscahften Icon

    Zahnärzte der Praxis Kleinsman / Varzideh dental center sind Mitglied bei folgenden Gesellschaften:

    • DGI - Deutsche Gesellschaft fĂĽr Implantologie
    • DGĂ„Z - Deutsche Gesellschaft fĂĽr Ă„sthetische Zahnheilmedizin
    Map Icon

    Standort Kleinsman / Varzideh dental center

    Kleinsman / Varzideh dental center  Logo