Behandlung Vorher-Nachher-Bild | Parodontologie, Veneers  | von drs.  Richard  Kleinsman  | Bocholt  e2c420d9 Vorher-Bild
Nachher
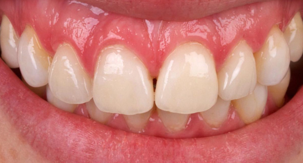
Behandlung Vorher-Nachher-Bild | Parodontologie, Veneers  | von drs.  Richard  Kleinsman  | Bocholt  e2c420d9 Nachher-Bild
Vorher
1840 Ansichten

Parodontologie Vorher Nachher

von Drs. Richard Kleinsman

drs.  Richard  Kleinsman  Profilbild
Alle durchgeführten Behandlungen bei diesem Fall: ParodontologieVeneers

Du findest das Behandlungsergebnis toll und möchtest Dich in dieser Praxis behandeln oder beraten lassen? Jetzt Kontakt aufnehmen:

Kontakt zur Praxis

Befund

Unausgeglichene Proportionen zwischen Zahnfleisch und Zähnen

Behandlung

Zahnfleischkorrektur, Anbringen von Veneers

Patientendaten

Weiblich