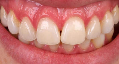
Vorher-Nachher-Bild | Brücken, Füllung, Kronen, Parodontologie, Prophylaxe, Veneers  | von    | Düsseldorf c0c7c76d Nachher-Bild
Nachher
Vorher-Nachher-Bild | Brücken, Füllung, Kronen, Parodontologie, Prophylaxe, Veneers  | von    | Düsseldorf c0c7c76d Vorher-Bild
Vorher
Bleaching+7 Dr. Verena Zurmühl Dr. Verena Zurmühl Düsseldorf
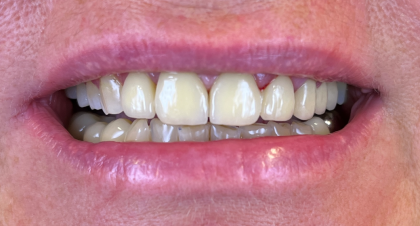
Vorher-Nachher-Bild | Brücken, Kronen, Parodontologie  | von ZA Jubin Banivaheb  | Düsseldorf  a5bfc9e0 Nachher-Bild
Nachher
Vorher-Nachher-Bild | Brücken, Kronen, Parodontologie  | von ZA Jubin Banivaheb  | Düsseldorf  a5bfc9e0 Vorher-Bild
Vorher
Brücken+2 ZA Jubin Banivaheb ZA Jubin Banivaheb Düsseldorf
Vorher-Nachher-Bild | Kronen, Parodontologie  | von Dr. med. dent.  Ulf  Schladebach  | Paderborn  32bb90e8 Nachher-Bild
Nachher
Vorher-Nachher-Bild | Kronen, Parodontologie  | von Dr. med. dent.  Ulf  Schladebach  | Paderborn  32bb90e8 Vorher-Bild
Vorher
Kronen+1 Dr. Ulf Schladebach Dr. Ulf Schladebach Paderborn
Vorher-Nachher-Bild | Parodontologie, Veneers  | von Dr. med. dent.  Alexander Vuck  | Düsseldorf  14bfa6bb Nachher-Bild
Nachher
Vorher-Nachher-Bild | Parodontologie, Veneers  | von Dr. med. dent.  Alexander Vuck  | Düsseldorf  14bfa6bb Vorher-Bild
Vorher
Implantate+3 Dr. Alexander Vuck Dr. Alexander Vuck Düsseldorf
Vorher-Nachher-Bild | Parodontologie, Veneers  | von drs.  Richard  Kleinsman  | Bocholt  e2c420d9 Nachher-Bild
Nachher
Vorher-Nachher-Bild | Parodontologie, Veneers  | von drs.  Richard  Kleinsman  | Bocholt  e2c420d9 Vorher-Bild
Vorher
Parodontologie+1 Drs. Richard Kleinsman Drs. Richard Kleinsman Bocholt
Vorher-Nachher-Bild | Implantate, Kronen, Parodontologie  | von ZA Nasibeh  Rad  | Niederkassel f457c545 Nachher-Bild
Nachher
Vorher-Nachher-Bild | Implantate, Kronen, Parodontologie  | von ZA Nasibeh  Rad  | Niederkassel f457c545 Vorher-Bild
Vorher
Implantate+2 Dr. Nasibeh Rad Dr. Nasibeh Rad Niederkassel
Vorher-Nachher-Bild | Parodontologie  | von ZA Nasibeh  Rad  | Niederkassel f457c545 Nachher-Bild
Nachher
Vorher-Nachher-Bild | Parodontologie  | von ZA Nasibeh  Rad  | Niederkassel f457c545 Vorher-Bild
Vorher
Parodontologie Dr. Nasibeh Rad Dr. Nasibeh Rad Niederkassel
Vorher-Nachher | ZA Nasibeh  Rad Nachherbild
Nachher
Vorher-Nachher | ZA Nasibeh  Rad Vorherbild
Vorher
Brücken+3 Dr. Nasibeh Rad Dr. Nasibeh Rad Niederkassel

Mundgesundheit fängt beim Zahnfleisch an

Parodontitis – eine weit verbreitete Erkrankung, die aber erst spät erkannt wird, da sie kaum Beschwerden verursacht. Ausgelöst wird die Parodontitis durch Bakterien im Zahnbelag, vor allem am Zahnfleischrand und in den Zahnzwischenräumen, wo sich der bakterienbesiedelte Biofilm ablagert. Nach Angaben des Weltverbandes der Zahnärzte FDI leiden weltweit mehr als 50 Prozent und in Europa sogar 80 Prozent der Bevölkerung an Zahnfleischproblemen. Erste Warnsignale können Zahnfleischentzündungen (Gingivitis) oder häufiges Zahnfleischbluten beim Zähneputzen sein. Wenn Sie auf der Suche nach einem kompetenten Zahnarzt für Ihre Mundgesundheit sind, können Ihnen die hier gezeigten Vorher Nachher Bilder helfen, den richtigen Experten – im Bereich der Parodontologie – in Ihrer Nähe zu finden.

Parodontitis: Bakterienangriff auf die Zähne

Im Verlauf einer Parodontitis löst sich die Verbindung zwischen Zahn und Zahnfleisch auf. Es bilden sich tiefe Zwischenräume, sogenannte Zahnfleischtaschen. Hier fühlen sich Bakterien besonders wohl und können sich bei mangelnder Mundhygiene rasch vermehren. Bleibt eine parodontale Erkrankung unbehandelt, kann sie weitere Folgeerkrankungen nach sich ziehen. Durch Zahnfleischrückgang und Knochenabbau kann eine Parodontitis schließlich zum Zahnverlust führen. Doch nicht nur das: Bakterien aus den Zahnfleischtaschen, die ins Blut gelangen, können an anderen Stellen im Körper weitere Entzündungsreaktionen auslösen, was die Entstehung weiterer Erkrankungen wie Rheuma, Arthritis, Arteriosklerose, Herzinfarkt, Schlaganfall oder Diabetes begünstigt. In der Schwangerschaft kann eine Parodontitis das Risiko einer Frühgeburt erhöhen.

Rechtzeitiges Vorbeugen: Besser als späteres Heilen

Umso wichtiger ist es, frühzeitig die richtige Diagnose zu stellen und eine angemessene Behandlung einzuleiten. Eine der ersten Maßnahmen gegen eine Parodontitis sollte immer eine professionelle Zahnreinigung sein. Im ersten Schritt entfernt der Zahnarzt Beläge und Bakterien von den Zähnen, auch unterhalb des Zahnfleischrands. Dann poliert der Zahnarzt die Zähne, um eine erneute Ansiedlung der Bakterien zu erschweren.

Ist die Parodontitis bereits fortgeschritten, kann eine chirurgische Behandlung erforderlich sein – vor allem dann, wenn die Zahnfleischtaschen sehr tief sind. In einem solchen Fall öffnet der Zahnarzt chirurgisch die Taschen und befreit den Zahn gründlich von allen Belägen.