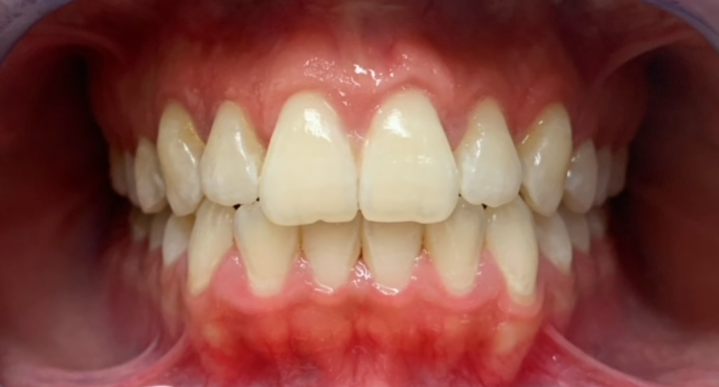
Behandlung Vorher-Nachher-Bild | Parodontologie  | von ZA Nasibeh  Rad  | Niederkassel f457c545 Vorher-Bild
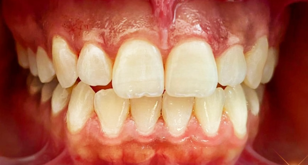
Nachher
Behandlung Vorher-Nachher-Bild | Parodontologie  | von ZA Nasibeh  Rad  | Niederkassel f457c545 Nachher-Bild
Vorher
1916 Ansichten

Parodontologie Vorher Nachher

von Dr. med. dent. Nasibeh Rad

ZA Nasibeh  Rad Profilbild
Alle durchgeführten Behandlungen bei diesem Fall: Parodontologie

Du findest das Behandlungsergebnis toll und möchtest Dich in dieser Praxis behandeln oder beraten lassen? Jetzt Kontakt aufnehmen:

Calendar IconOnline-Termin
Kontakt zur Praxis

Befund

Unausgewogenes Sichtbarkeitsverhältnis zwischen Zahnfleisch und Zähnen

Behandlung

Gummy Smile Behandlung

Patientendaten

weiblich, 21 Jahre