Behandlung Vorher-Nachher-Bild | Kronen, Parodontologie  | von Dr. med. dent.  Ulf  Schladebach  | Paderborn  32bb90e8 Vorher-Bild
Nachher
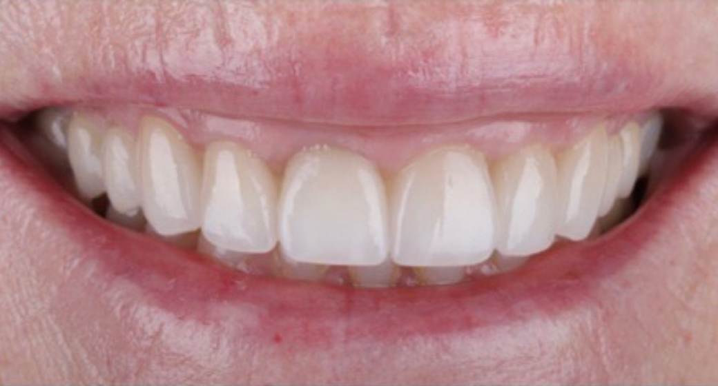
Behandlung Vorher-Nachher-Bild | Kronen, Parodontologie  | von Dr. med. dent.  Ulf  Schladebach  | Paderborn  32bb90e8 Nachher-Bild
Vorher
21080 Ansichten

Kronen Vorher Nachher

von Dr. med. dent. Ulf Schladebach

Dr. med. dent.  Ulf  Schladebach  Profilbild
Alle durchgeführten Behandlungen bei diesem Fall: KronenParodontologie

Du findest das Behandlungsergebnis toll und möchtest Dich in dieser Praxis behandeln oder beraten lassen? Jetzt Kontakt aufnehmen:

Kontakt zur Praxis

Befund

Insuffiziente Frontkronen, unharmonische Zahnfleisch-Verhältnisse

Behandlung

Bei unserer Patientin sollten die insuffizienten Frontkronen erneuert und die Zahnfleisch-Verhältnisse harmonisiert werden. Nach der ausführlichen Untersuchung entschieden wir uns, zusätzlich zu den Frontkronen auch die Teilkronen der seitlichen Backenzähne aus ästhetischen und funktionellen Gründen zu erneuern. Dabei war die Planung das A und O: Nach der Optimierung der Zahnfleisch-Situation konnte dann die Behandlung der 10 Zähne erfolgen.

Patientendaten

Weiblich