Till Muffels Profilbild

Zahnarzt Till Muffels

Schulstraße 22,
25335 Elmshorn

AlignerCMD

Du findest das Behandlungsergebnis toll und möchtest Dich in dieser Praxis behandeln oder beraten lassen? Jetzt Kontakt aufnehmen:

Calendar IconOnline-Termin Kontakt zur Praxis
Vorher Nachher Bild Icon

Vorher-Nachher-Bilder von Till Muffels

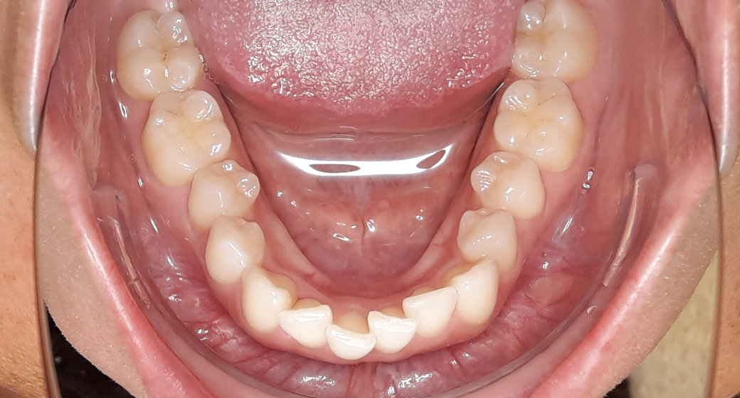
Vorher-Nachher-Bild | KieferorthopÀdie  | von  Till Muffels | Elmshorn d82c8d16 Nachher-Bild
Nachher
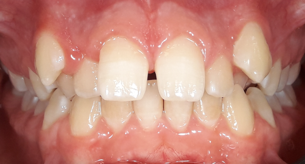
Vorher-Nachher-Bild | KieferorthopÀdie  | von  Till Muffels | Elmshorn d82c8d16 Vorher-Bild
Vorher
KieferorthopÀdie  Till Muffels Till Muffels Elmshorn
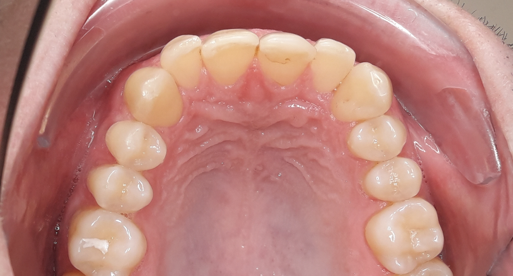
Vorher-Nachher-Bild | KieferorthopÀdie  | von  Till Muffels | Elmshorn d82c8d16 Nachher-Bild
Nachher
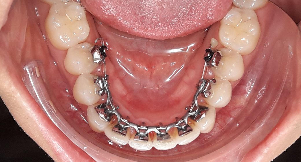
Vorher-Nachher-Bild | KieferorthopÀdie  | von  Till Muffels | Elmshorn d82c8d16 Vorher-Bild
Vorher
KieferorthopÀdie  Till Muffels Till Muffels Elmshorn
Vorher-Nachher-Bild | KieferorthopÀdie  | von    | Elmshorn d82c8d16 Nachher-Bild
Nachher
Vorher-Nachher-Bild | KieferorthopÀdie  | von    | Elmshorn d82c8d16 Vorher-Bild
Vorher
KieferorthopÀdie  Till Muffels Till Muffels Elmshorn
Vorher-Nachher-Bild | KieferorthopÀdie  | von    | Elmshorn d82c8d16 Nachher-Bild
Nachher
Vorher-Nachher-Bild | KieferorthopÀdie  | von    | Elmshorn d82c8d16 Vorher-Bild
Vorher
KieferorthopÀdie  Till Muffels Till Muffels Elmshorn

+ 1 weitere Vorher-Nachher-Bilder

Beschreibung Icon

Über Till Muffels

2021 – heute NeugrĂŒndung der kieferorthopĂ€dischen Fachpraxis ИORDBISS KieferorthopĂ€die, Elmshorn

2020 – 2021 UniversitĂ€tsklinikum Schleswig Holstein(UKSH), Klinik fĂŒr KieferorthopĂ€die, Prof. Dr. Fischer-Brandies

2017 – 2020 Weiterbildungsassistent KieferorthopĂ€dische Fachpraxis Dres. Schaper & Sommer, Norderstedt

2016 – 2017 Vorbereitungsassistent Zahnarztpraxis Dr. Mensing, Kiel