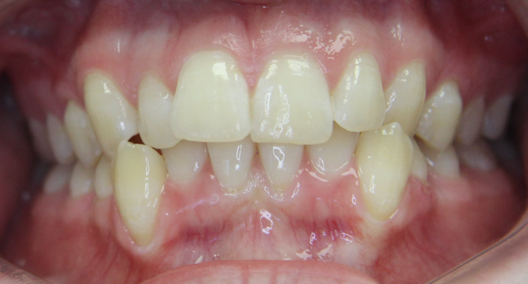
Behandlung Vorher-Nachher-Bild | Kieferorthopädie  | von  Till Muffels | Elmshorn d82c8d16 Vorher-Bild
Nachher
Behandlung Vorher-Nachher-Bild | Kieferorthopädie  | von  Till Muffels | Elmshorn d82c8d16 Nachher-Bild
Vorher
916 Ansichten

Kieferorthopädie Vorher Nachher

von Till Muffels

 Till Muffels Profilbild
Alle durchgeführten Behandlungen bei diesem Fall: Kieferorthopädie

Du findest das Behandlungsergebnis toll und möchtest Dich in dieser Praxis behandeln oder beraten lassen? Jetzt Kontakt aufnehmen:

Calendar IconOnline-Termin Kontakt zur Praxis

Befund

Zahnfehlstellung

Behandlung

Die festsitzende Zahnspange mit Brackets konnte die Zähne unserer Patientin in die gewünschte Stellung bringen. An den hinteren Backenzähnen haben wir Metallringe (sog. “Bänder”) angebracht. Ein in die Brackets und Bänder angebrachter umlaufender Drahtbogen hat für die Zahnbewegung den nötigen Druck erzeugt. ⁠