Zahnarztbild Placeholder

Zahnarzt Stephan Mlecko

Weberstraße 13A,
49477 Ibbenbüren

AlignerÄsthetische ZahnmedizinBleachingImplantologieLachgassedierungProphylaxe / PZRVeneersZahnersatz

Du findest das Behandlungsergebnis toll und möchtest Dich in dieser Praxis behandeln oder beraten lassen? Jetzt Kontakt aufnehmen:

Kontakt zur Praxis
Vorher Nachher Bild Icon

Vorher-Nachher-Bilder von Stephan Mlecko

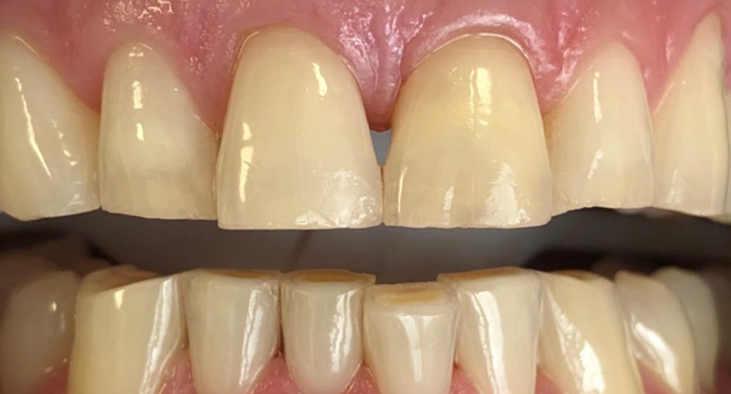
Vorher-Nachher-Bild | Bleaching  | von ZA Stephan Mlecko | Ibbenbüren dc6a6489 Nachher-Bild
Nachher
Vorher-Nachher-Bild | Bleaching  | von ZA Stephan Mlecko | Ibbenbüren dc6a6489 Vorher-Bild
Vorher
Bleaching  Stephan Mlecko Stephan Mlecko Ibbenbüren
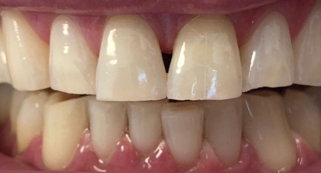
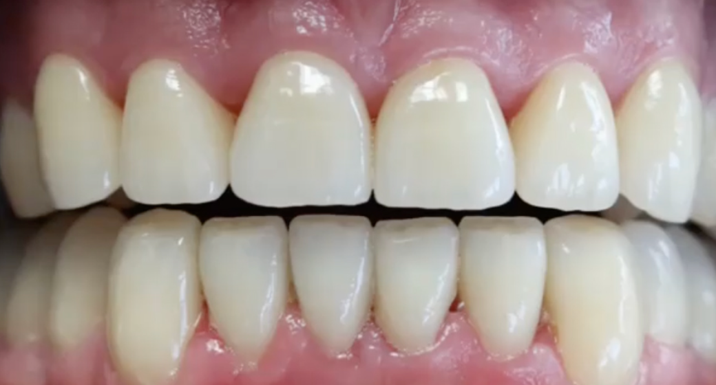
Vorher-Nachher-Bild | Kronen  | von ZA Stephan Mlecko | Ibbenbüren dc6a6489 Nachher-Bild
Nachher
Vorher-Nachher-Bild | Kronen  | von ZA Stephan Mlecko | Ibbenbüren dc6a6489 Vorher-Bild
Vorher
Kronen  Stephan Mlecko Stephan Mlecko Ibbenbüren
Vorher-Nachher-Bild | Füllung, Kieferorthopädie  | von ZA Stephan Mlecko | Ibbenbüren dc6a6489 Nachher-Bild
Nachher
Vorher-Nachher-Bild | Füllung, Kieferorthopädie  | von ZA Stephan Mlecko | Ibbenbüren dc6a6489 Vorher-Bild
Vorher
Füllung+1  Stephan Mlecko Stephan Mlecko Ibbenbüren
Beschreibung Icon

Über Stephan Mlecko

VITA STEPHAN MLECKO

    Geboren am 15.07.1982 in Essen Studium der Zahnmedizin 2004 bis 2010 in München und Münster Assistenzzahnarzt in Dorsten Juni 2010 bis Dezember 2011Weiterbildungsassistenz in Münster (Oralchirurgie) bei Prof. Dr. Dr. Georg Habel (MKG)Januar 2013: Niederlassung in eigener Praxis in Ibbenbüren Juni 2018: Übernahme der Zahnarztpraxis Block in Saerbeck als Zweigpraxis Juli 2019: Gründung Mlecko & Kollegen ZMVZ GmbH Juli 2019: Übernahme der Zahnarztpraxis Hermann in Hörstel-Bevergern2022: Übernahme/Integration der Zahnarztpraxis Dr. Rainer Kaiser 

FORTBILDUNGEN/QUALIFIKATIONEN

    Master of Science (M.Sc./MOM) in Oral Implantology and Surgery 2013 bei Prof. Dr. Dr. Ullrich Joos /Münster Dentale Sedierung (Lachgas/Dormicum)Curriculum Funktion und Prothetik (DIR/Fundamental Essen) 2015 Zertifizierung zum Sportzahnarzt/Teamzahnarzt (DGSZM/Nürnberg) 2018 Curriculum Ästhetische Zahnheilkunde (KZVWL/Münster) 2019 Erwerb der DVT-Sachkunde