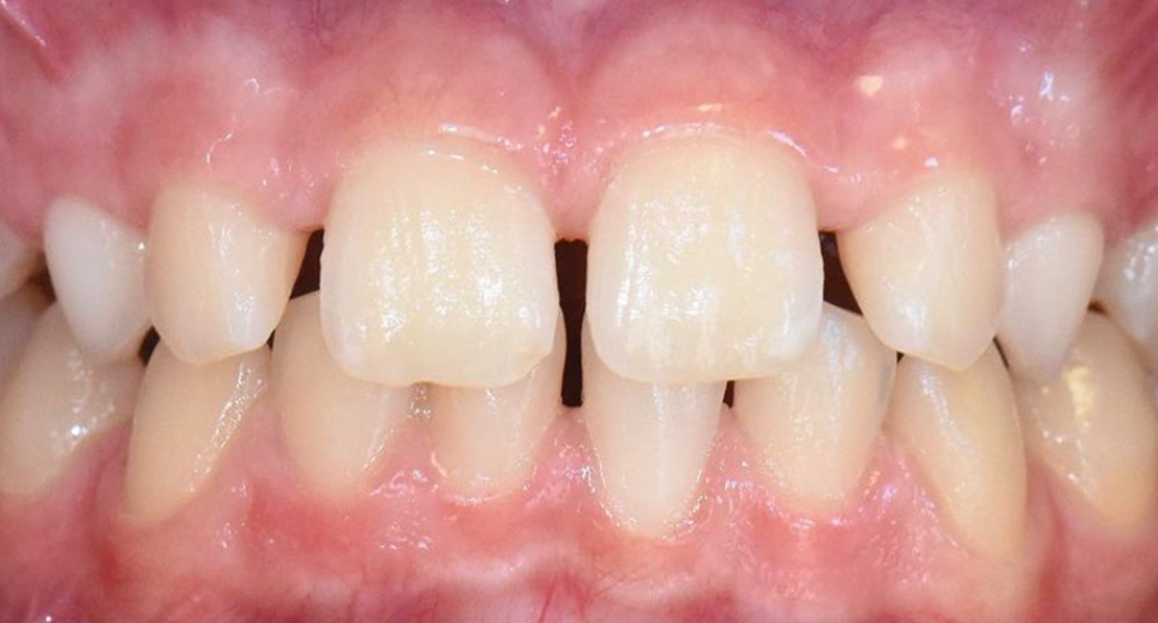
Behandlung Vorher-Nachher-Bild | Füllung, Kieferorthopädie  | von ZA Stephan Mlecko | Ibbenbüren dc6a6489 Vorher-Bild
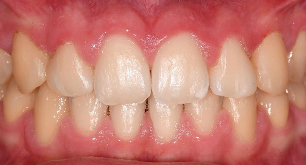
Nachher
Behandlung Vorher-Nachher-Bild | Füllung, Kieferorthopädie  | von ZA Stephan Mlecko | Ibbenbüren dc6a6489 Nachher-Bild
Vorher
1459 Ansichten

Füllung Vorher Nachher

von Stephan Mlecko

Zahnarztbild Placeholder
Alle durchgeführten Behandlungen bei diesem Fall: FüllungKieferorthopädie

Du findest das Behandlungsergebnis toll und möchtest Dich in dieser Praxis behandeln oder beraten lassen? Jetzt Kontakt aufnehmen:

Kontakt zur Praxis

Befund

Bei diesem jungen Patienten sind die zweiten Schneidezähne sowie Eckzähne zu “schmal” bzw. “klein” gewesen.

Behandlung

Nach gründlicher Beratung durch unsere Praxis sowie unseren Partnern der KFO Lippold in Ibbenbüren erfolgte zunächst die Zahnstellungskorrektur mittels einer festen Zahnspange . Dadurch ergaben sich Lücken zwischen den zweiten Schneidenzähnen und den Eckzähnen. Diese wurde dann durch uns mit Kunststoffaufbauten ästhetisch und funktionell verschlossen. Wir warten nun das abgeschlossene Wachstum dieses jungen Patienten ab und werden dann mit Veneers diesen Fall abschließen.