Dr. med. dent.  Ulf  Schladebach  Profilbild

Zahnarzt Dr. med. dent. Ulf Schladebach

Mersinweg 26,
33100 Paderborn

AlignerÄsthetische ZahnmedizinBleachingCMDImplantologieKieferorthopädieKinderzahnmedizinParodontologieProphylaxe / PZRVeneersWurzelkanalbehandlungZahnersatz

Du findest das Behandlungsergebnis toll und möchtest Dich in dieser Praxis behandeln oder beraten lassen? Jetzt Kontakt aufnehmen:

Kontakt zur Praxis
Vorher Nachher Bild Icon

Vorher-Nachher-Bilder von Dr. med. dent. Ulf Schladebach

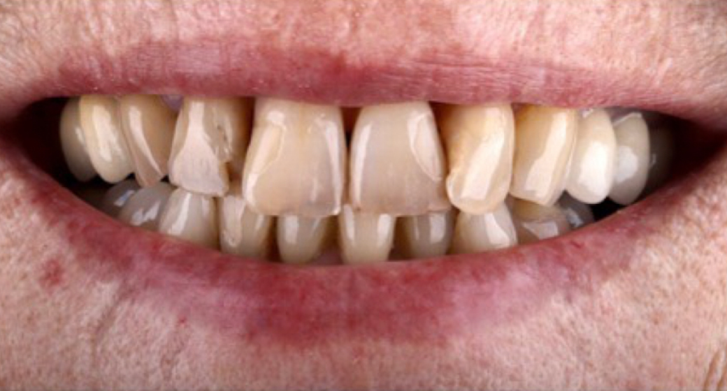
Vorher-Nachher-Bild | Kronen, Veneers  | von Dr. med. dent.  Ulf  Schladebach  | Paderborn  32bb90e8 Nachher-Bild
Nachher
Vorher-Nachher-Bild | Kronen, Veneers  | von Dr. med. dent.  Ulf  Schladebach  | Paderborn  32bb90e8 Vorher-Bild
Vorher
Kronen+1 Dr. Ulf Schladebach Dr. Ulf Schladebach Paderborn
Vorher-Nachher-Bild | BrĂĽcken, Implantate  | von Dr. med. dent.  Ulf  Schladebach  | Paderborn  32bb90e8 Nachher-Bild
Nachher
Vorher-Nachher-Bild | BrĂĽcken, Implantate  | von Dr. med. dent.  Ulf  Schladebach  | Paderborn  32bb90e8 Vorher-Bild
Vorher
BrĂĽcken+1 Dr. Ulf Schladebach Dr. Ulf Schladebach Paderborn
Vorher-Nachher-Bild | Kronen, Parodontologie  | von Dr. med. dent.  Ulf  Schladebach  | Paderborn  32bb90e8 Nachher-Bild
Nachher
Vorher-Nachher-Bild | Kronen, Parodontologie  | von Dr. med. dent.  Ulf  Schladebach  | Paderborn  32bb90e8 Vorher-Bild
Vorher
Kronen+1 Dr. Ulf Schladebach Dr. Ulf Schladebach Paderborn
Beschreibung Icon

Ăśber Dr. med. dent. Ulf Schladebach

Dr. med. dent. Ulf Schladebach ist seit über 25 Jahren ein Teil des ZMZ und behandelt insbesondere Patienten in den Bereichen Implantologie, (augmentative) Chirurgie und ästhetisch-rekonstruktiver sowie ästhetisch-parodontaler Zahnmedizin.

Qualifikationen 

  • Implantologie
  • Master of Science (MSc.) fĂĽr ästhetisch-rekonstruktive Zahnmedizin

Vita

1991–1996 Studium der Zahnmedizin in Halle/Saale

Seit 1997 Eintritt in das Zahnmedizinische Zentrum (z.d.Z. Praxis fĂĽr Zahnheilkunde)

2000 Promotion zum Thema Kariesrisikobestimmung

2000–2002 Spezialisierungsausbildung Implantologie

2004–2007 Fachstudium zum „Master of Science für ästhetisch-rekonstruktive Zahnmedizin“