Dr. med. dent. Kai Zwanzig Profilbild

Zahnarzt Dr. med. dent. Kai Zwanzig

Mauerstr. 8,
33602 Bielefeld

AlignerÄsthetische ZahnmedizinBiologische ZahnmedizinBleachingCMDImplantologieKieferorthopädieOralchirurgieParodontologieProphylaxe / PZRProthetikSportzahnmedizinVeneersVollnarkoseWurzelspitzenresektionZahnersatzZahnfleischbehandlung

Du findest das Behandlungsergebnis toll und möchtest Dich in dieser Praxis behandeln oder beraten lassen? Jetzt Kontakt aufnehmen:

Kontakt zur Praxis
Vorher Nachher Bild Icon

Vorher-Nachher-Bilder von Dr. med. dent. Kai Zwanzig

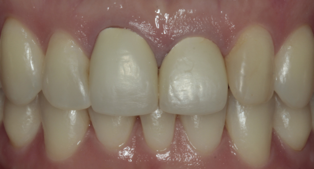
Vorher-Nachher-Bild | Veneers von Dr. med. dent. Kai Zwanzig | Bielefeld 9461cce2 Nachher-Bild
Nachher
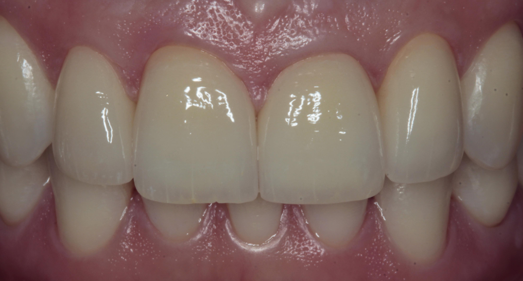
Vorher-Nachher-Bild | Veneers von Dr. med. dent. Kai Zwanzig | Bielefeld 9461cce2 Vorher-Bild
Vorher
Veneers Dr. Kai Zwanzig Dr. Kai Zwanzig Bielefeld
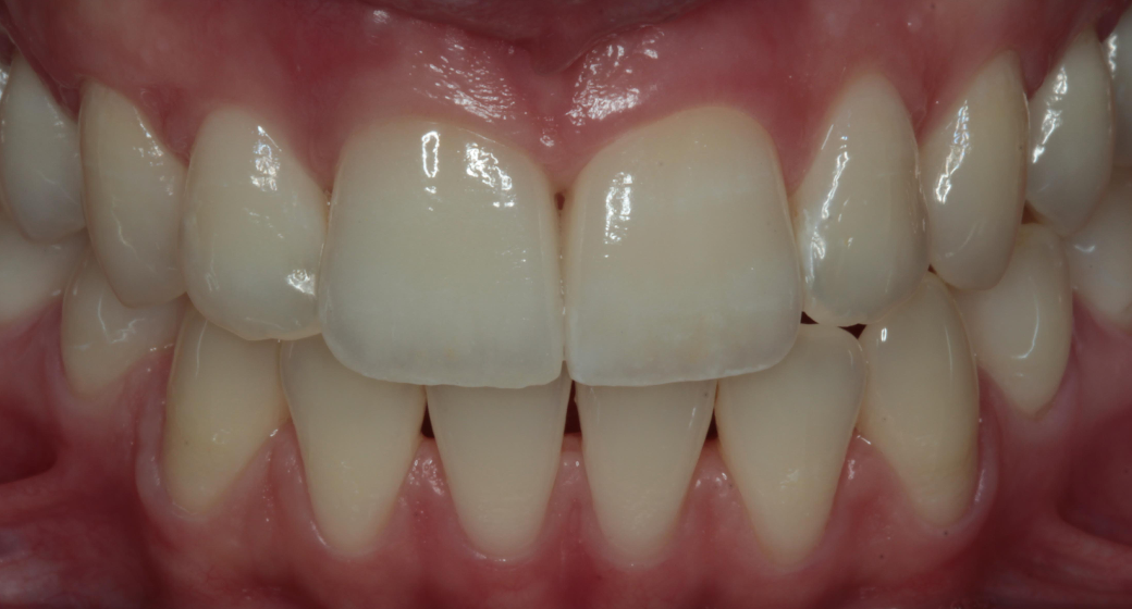
Vorher-Nachher-Bild | Implantate von Dr. med. dent. Kai Zwanzig | Bielefeld 9461cce2 Nachher-Bild
Nachher
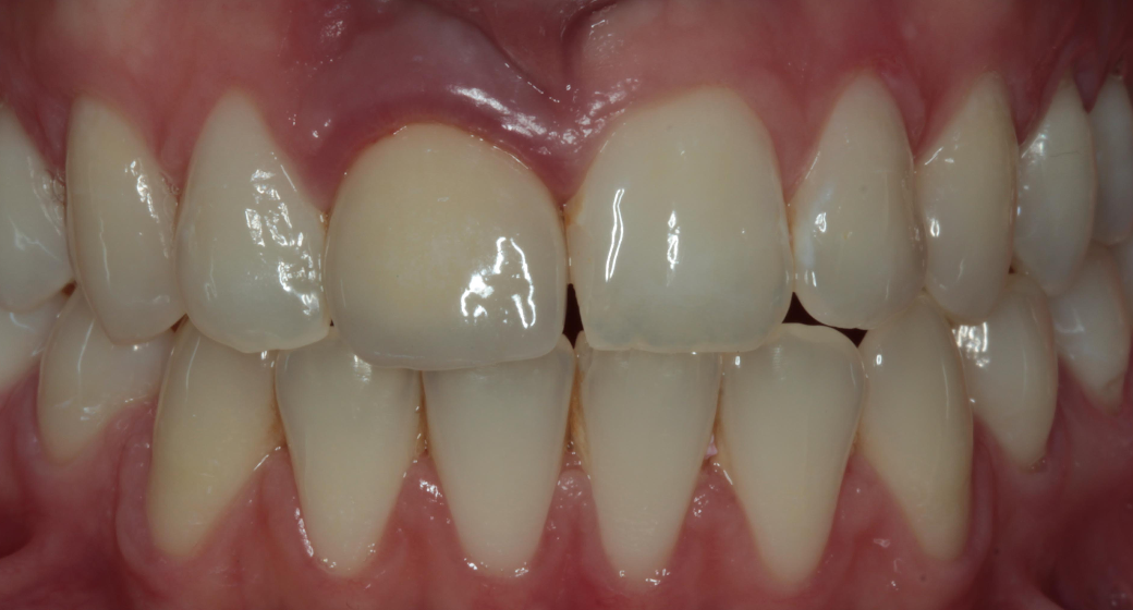
Vorher-Nachher-Bild | Implantate von Dr. med. dent. Kai Zwanzig | Bielefeld 9461cce2 Vorher-Bild
Vorher
Implantate+3 Dr. Kai Zwanzig Dr. Kai Zwanzig Bielefeld
Vorher-Nachher-Bild | Implantate von    | Bielefeld 9461cce2 Nachher-Bild
Nachher
Vorher-Nachher-Bild | Implantate von    | Bielefeld 9461cce2 Vorher-Bild
Vorher
Implantate+2 Dr. Kai Zwanzig Dr. Kai Zwanzig Bielefeld
Beschreibung Icon

Ăśber Dr. med. dent. Kai Zwanzig

Dr. Kai Zwanzig ist Zahnarzt und Fachzahnarzt für Oralchirurgie. Er ist Spezialist für Implantologie, Parodontologie und vollkeramischen Zahnersatz und ein international tätiger Referent mit zahlreichen Vorträgen und Kursen im In- und Ausland. Bei ihm steht die Funktion im Vordergrund, stehts handelnd nach einem der ältesten biologischen Grundsätzen: "Form follows function". Seit vielen Jahren ist Dr. Kai Zwanzig Mitglied der "Leading Implant Centers of the world"

Mitgliedscahften Icon

Dr. med. dent. Kai Zwanzig ist Mitglied in folgenden Gesellschaften

  • DGI - Deutsche Gesellschaft fĂĽr Implantologie
  • DG PARO - Deutsche Gesellschaft fĂĽr Parodontologie