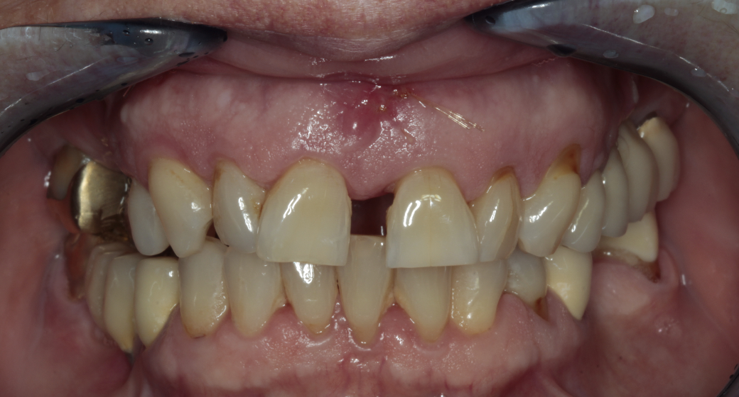
Behandlung Vorher-Nachher-Bild | Implantate von Dr. med. dent. Kai Zwanzig | Bielefeld 9461cce2 Vorher-Bild
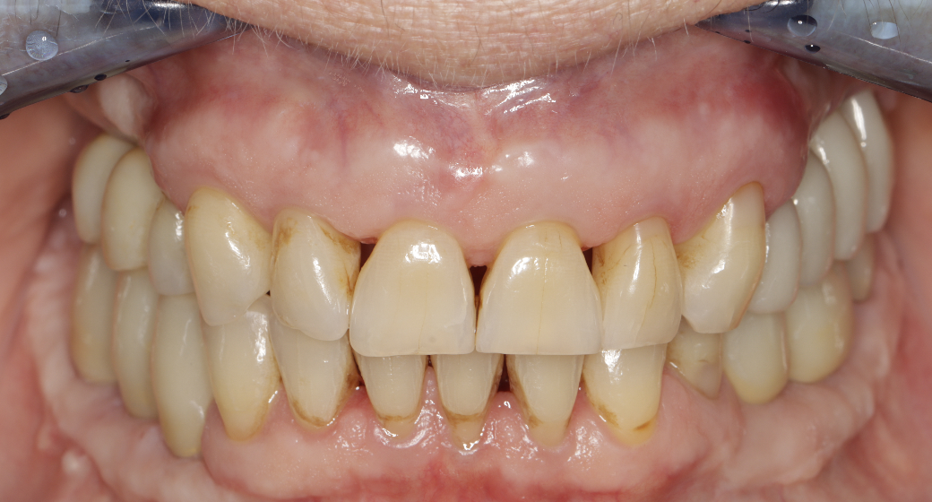
Nachher
Behandlung Vorher-Nachher-Bild | Implantate von Dr. med. dent. Kai Zwanzig | Bielefeld 9461cce2 Nachher-Bild
Vorher
708 Ansichten

Implantate Vorher Nachher

von Dr. med. dent. Kai Zwanzig

Dr. med. dent. Kai Zwanzig Profilbild
Alle durchgeführten Behandlungen bei diesem Fall: ImplantateParodontologieKieferorthopädieKronen

Du findest das Behandlungsergebnis toll und möchtest Dich in dieser Praxis behandeln oder beraten lassen? Jetzt Kontakt aufnehmen:

Kontakt zur Praxis

Befund

Massive Kiefer- und Zahnfehlstellung. Zahlreiche nicht erhaltungsfähige Zähne

Behandlung

Kieferorthopädie, Knochenaufbauten. Implantate, Zahnfleischchirurgie und die endgültige Versorgung mit vollkeramischen Kronen und Brücken