ZA Nasibeh  Rad Profilbild

Zahnärztin Dr. med. dent. Nasibeh Rad

PoststraĂźe 17,
53859 Niederkassel

Ästhetische ZahnmedizinBleachingImplantologieParodontologieProphylaxe / PZRProthetikZahnersatzZahnfleischbehandlung

Du findest das Behandlungsergebnis toll und möchtest Dich in dieser Praxis behandeln oder beraten lassen? Jetzt Kontakt aufnehmen:

Calendar IconOnline-Termin
Kontakt zur Praxis
Vorher Nachher Bild Icon

Vorher-Nachher-Bilder von Dr. med. dent. Nasibeh Rad

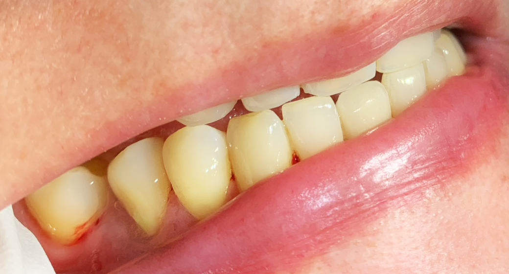
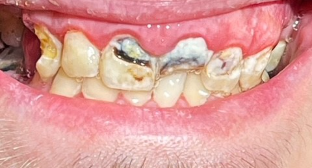
Vorher-Nachher-Bild | FĂĽllung, Parodontologie  | von ZĂ„ Nasibeh Rad | Niederkassel f457c545 Nachher-Bild
Nachher
Vorher-Nachher-Bild | FĂĽllung, Parodontologie  | von ZĂ„ Nasibeh Rad | Niederkassel f457c545 Vorher-Bild
Vorher
Parodontologie+1 Dr. Nasibeh Rad Dr. Nasibeh Rad Niederkassel
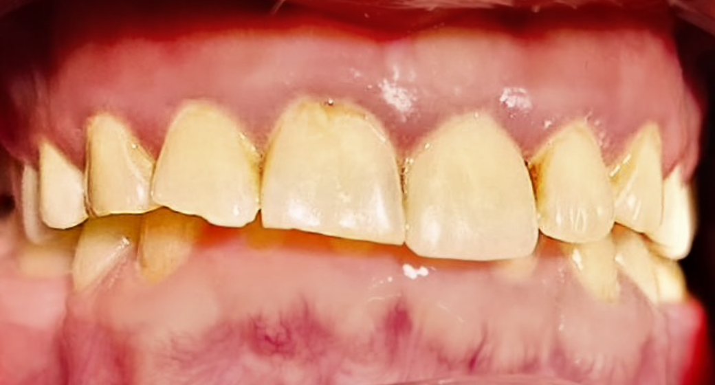
Vorher-Nachher-Bild von ZĂ„ Nasibeh  Rad  | Niederkassel f457c545 Nachher-Bild
Nachher
Vorher-Nachher-Bild von ZĂ„ Nasibeh  Rad  | Niederkassel f457c545 Vorher-Bild
Vorher
Kronen Dr. Nasibeh Rad Dr. Nasibeh Rad Niederkassel
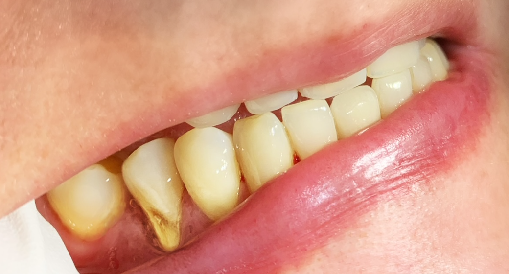
Vorher-Nachher-Bild | Implantate, Kronen, Parodontologie  | von ZA Nasibeh  Rad  | Niederkassel f457c545 Nachher-Bild
Nachher
Vorher-Nachher-Bild | Implantate, Kronen, Parodontologie  | von ZA Nasibeh  Rad  | Niederkassel f457c545 Vorher-Bild
Vorher
Implantate+2 Dr. Nasibeh Rad Dr. Nasibeh Rad Niederkassel
Vorher-Nachher-Bild von ZA Nasibeh  Rad  | Niederkassel f457c545 Nachher-Bild
Nachher
Vorher-Nachher-Bild von ZA Nasibeh  Rad  | Niederkassel f457c545 Vorher-Bild
Vorher
Kronen Dr. Nasibeh Rad Dr. Nasibeh Rad Niederkassel

+ 3 weitere Vorher-Nachher-Bilder

Beschreibung Icon

Ăśber Dr. med. dent. Nasibeh Rad

    2023 Präsidentin der Deutschen Gesellschaft für Periimplantitis (DGPeri)

    2014 Übernahme der Zahnarztpraxis von Dr. Carsten Appel und Eröffnung einer eigenen Praxis für Zahn-, Mund- und Kieferheilkunde

    2013-2014 Zahnärztliche Ausbildung als Assistenzzahnärztin in den Zahnarztpraxen Dr. Victor Niklas Steffens (Bergisch Gladbach) und Dr. Andrea D. Iona (Altenkirchen) sowie Tätigkeit als angestellte Zahnärztin in der Zahnarztpraxis Dr. Carsten Appel

    2011 Zahnärztliche Zulassung (Approbation)

    2005-2011 Studium der Zahnmedizin an der Rheinischen Friedrich-Wilhelms-Universität Bonn