Behandlung Vorher-Nachher-Bild | Kronen  | von Dr. med. dent. Michael  Rak  | Bernried am Starnberger See d9d4f495 Vorher-Bild
Nachher
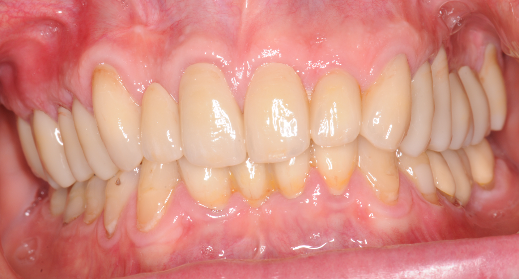
Behandlung Vorher-Nachher-Bild von Dr. med. dent. Michael  Rak  | Bernried am Starnberger See d9d4f495 Nachher-Bild
Vorher
895 Ansichten

Kronen Vorher Nachher

von Dr. med. Dr. med. dent. Michael Rak

Dr. med. Dr. med. dent. Michael  Rak  Profilbild
Alle durchgeführten Behandlungen bei diesem Fall: Kronen

Du findest das Behandlungsergebnis toll und möchtest Dich in dieser Praxis behandeln oder beraten lassen? Jetzt Kontakt aufnehmen:

DR Flex IconOnline-Termin (Dr. Flex) Kontakt zur Praxis

Befund

Massive Knirschdefekte bei exzessivem Bruxismus (Knirschen)

Behandlung

Bisserhöhung und Komplette Neuversorgung des Oberkiefers und des Unterkiefers mit Keramikkronen

Patientendaten

Männlich, 54 Jahre