Dr. med. Dr. med. dent. Michael  Rak  Profilbild

Zahnarzt Dr. med. Dr. med. dent. Michael Rak

Wettersteinstraße 9,
82347 Bernried am Starnberger See

Ästhetische ZahnmedizinBiologische ZahnmedizinImplantologieParodontologie

Du findest das Behandlungsergebnis toll und möchtest Dich in dieser Praxis behandeln oder beraten lassen? Jetzt Kontakt aufnehmen:

DR Flex IconOnline-Termin (Dr. Flex) Kontakt zur Praxis
Vorher Nachher Bild Icon

Vorher-Nachher-Bilder von Dr. med. Dr. med. dent. Michael Rak

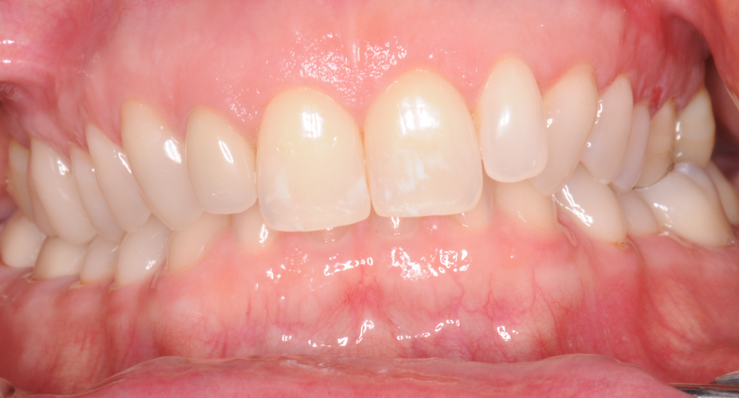
Vorher-Nachher-Bild | Implantate von Dr. med. Dr. med. dent. Michael Rak | Bernried am Starnberger See d9d4f495 Nachher-Bild
Nachher
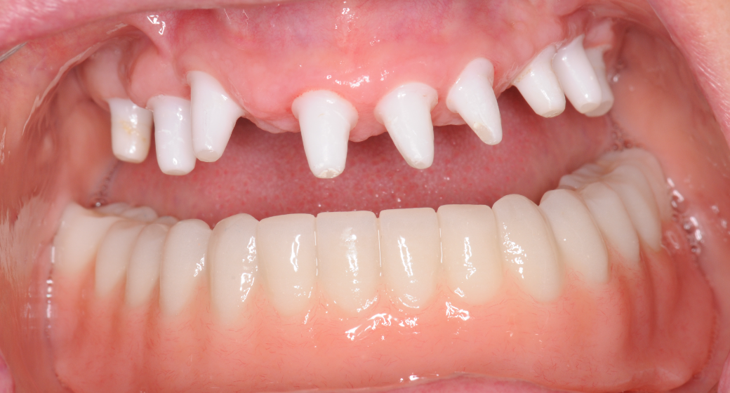
Vorher-Nachher-Bild | Implantate von Dr. med. Dr. med. dent. Michael Rak | Bernried am Starnberger See d9d4f495 Vorher-Bild
Vorher
Implantate+1 Dr.  Dr. Michael Rak Dr. Dr. Michael Rak Bernried am Starnberger See
Vorher-Nachher-Bild | Implantate, Kronen  | von Dr. med. dent. Michael  Rak  | Bernried am Starnberger See d9d4f495 Nachher-Bild
Nachher
Vorher-Nachher-Bild | Implantate, Kronen  | von Dr. med. dent. Michael  Rak  | Bernried am Starnberger See d9d4f495 Vorher-Bild
Vorher
Implantate+1 Dr.  Dr. Michael Rak Dr. Dr. Michael Rak Bernried am Starnberger See
Vorher-Nachher-Bild von Dr. med. dent. Michael  Rak  | Bernried am Starnberger See d9d4f495 Nachher-Bild
Nachher
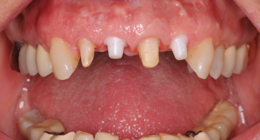
Vorher-Nachher-Bild von Dr. med. dent. Michael  Rak  | Bernried am Starnberger See d9d4f495 Vorher-Bild
Vorher
Implantate Dr.  Dr. Michael Rak Dr. Dr. Michael Rak Bernried am Starnberger See
Vorher-Nachher-Bild von Dr. med. dent. Michael  Rak  | Bernried am Starnberger See d9d4f495 Nachher-Bild
Nachher
Vorher-Nachher-Bild von Dr. med. dent. Michael  Rak  | Bernried am Starnberger See d9d4f495 Vorher-Bild
Vorher
Implantate+1 Dr.  Dr. Michael Rak Dr. Dr. Michael Rak Bernried am Starnberger See

+ 3 weitere Vorher-Nachher-Bilder

Beschreibung Icon

Über Dr. med. Dr. med. dent. Michael Rak

Seit 2014 nimmt Dr. Dr. Rak kontinuierlich an Fort-/Weiterbildungen bei SDS (Swiss Biohealth Klinik | Schweiz | Dr. Ulrich Volz | Biologische Zahnmedizin) teil.

Studium 

2014 Approbation als Arzt 

2008-2014 Studium der Humanmedizin an der LMU München 

2008 Approbation als Zahnarzt 

2003-2008 Studium der Zahnmedizin an der Ruprechts-Karl-Universität Heidelberg 

Assistenzzeit 

2010-2012 Assistenzzeit in Zahnarztpraxis für Ganzheitliche Zahnmedizin in München / S. Berthold 

2009-2010 Assistenzzeit in Praxis für Mund-Kiefer und Gesichtschirurgie München / Dr. Dr. G. Hägler

Curriculum 

2019 Spezialist für biologische Zahnheilkunde und Keramikimplantate 

2015 Curriculum Umweltzahnmedizin 

2012 Curriculum zahnärztliche Hypnose