Behandlung Vorher-Nachher-Bild | Aligner, Bleaching, Prophylaxe, Veneers  | von Dr. med. dent. Kay Zurmühl  | Düsseldorf c0c7c76d Vorher-Bild
Nachher
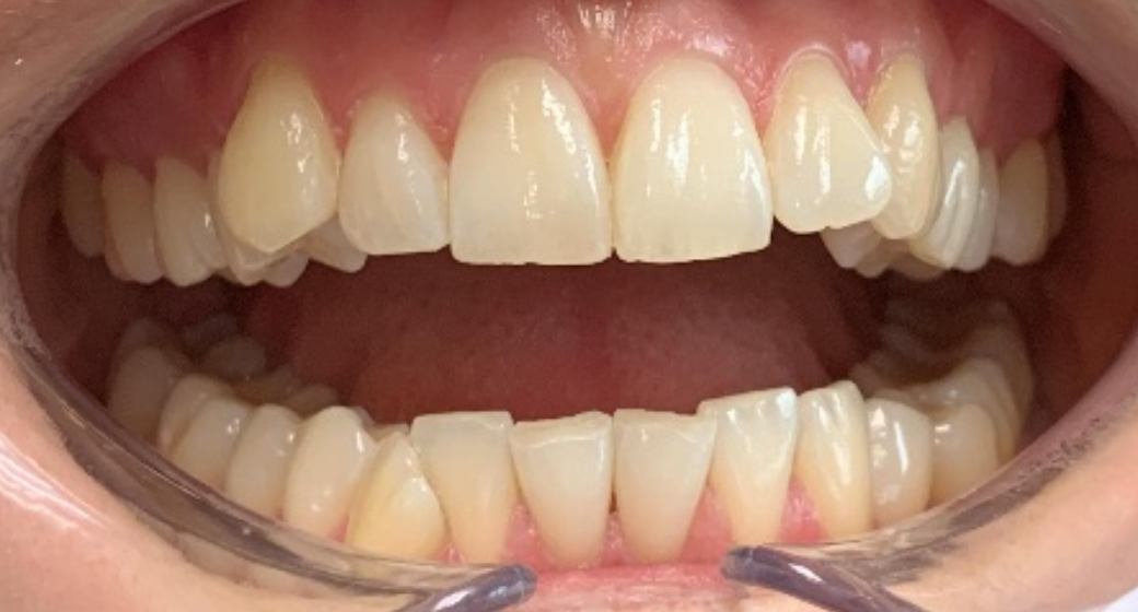
Behandlung Vorher-Nachher-Bild | Aligner, Bleaching, Prophylaxe, Veneers  | von Dr. med. dent. Kay Zurmühl  | Düsseldorf c0c7c76d Nachher-Bild
Vorher
1720 Ansichten

Aligner Vorher Nachher

von Dr. med. dent. Kay Zurmühl

Dr. med. dent. Kay Zurmühl  Profilbild
Alle durchgeführten Behandlungen bei diesem Fall: AlignerBleachingProphylaxeVeneers

Du findest das Behandlungsergebnis toll und möchtest Dich in dieser Praxis behandeln oder beraten lassen? Jetzt Kontakt aufnehmen:

Calendar IconOnline-Termin Kontakt zur Praxis

Befund

Zahnengstand

Behandlung

Alignerbehandlung

Patientendaten

weiblich, 32 Jahre