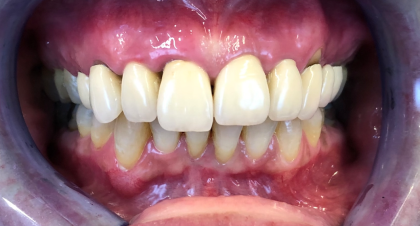
Vorher-Nachher-Bild | Veneers  | von Dr. med. dent.  Alexander Vuck  | Düsseldorf  14bfa6bb Nachher-Bild
Nachher
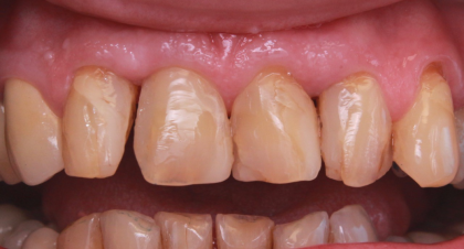
Vorher-Nachher-Bild | Veneers  | von Dr. med. dent.  Alexander Vuck  | Düsseldorf  14bfa6bb Vorher-Bild
Vorher
Bleaching+2 Dr. Alexander Vuck Dr. Alexander Vuck Düsseldorf
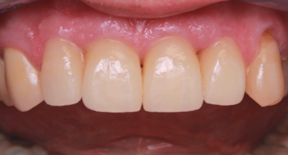
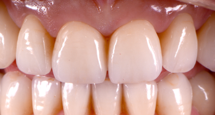
Vorher-Nachher-Bild | Kronen  | von Zahnarzt  Milan  Michalides  | Stuhr / Brinkum  7cbbc409 Nachher-Bild
Nachher
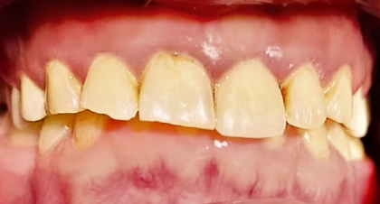
Vorher-Nachher-Bild | Kronen  | von Zahnarzt  Milan  Michalides  | Stuhr / Brinkum  7cbbc409 Vorher-Bild
Vorher
Kronen  Milan Michalides Milan Michalides Stuhr / Brinkum
Vorher-Nachher-Bild | Implantate, Kronen, Parodontologie  | von ZA Nasibeh  Rad  | Niederkassel f457c545 Nachher-Bild
Nachher
Vorher-Nachher-Bild | Implantate, Kronen, Parodontologie  | von ZA Nasibeh  Rad  | Niederkassel f457c545 Vorher-Bild
Vorher
Implantate+2 Dr. Nasibeh Rad Dr. Nasibeh Rad Niederkassel
Vorher-Nachher-Bild von ZA Nasibeh  Rad  | Niederkassel f457c545 Nachher-Bild
Nachher
Vorher-Nachher-Bild von ZA Nasibeh  Rad  | Niederkassel f457c545 Vorher-Bild
Vorher
Kronen Dr. Nasibeh Rad Dr. Nasibeh Rad Niederkassel
Vorher-Nachher-Bild | Brücken, Kronen  | von  Jubin Banivaheb  | Düsseldorf  a5bfc9e0 Nachher-Bild
Nachher
Vorher-Nachher-Bild | Brücken, Kronen  | von  Jubin Banivaheb  | Düsseldorf  a5bfc9e0 Vorher-Bild
Vorher
Brücken+1 ZA Jubin Banivaheb ZA Jubin Banivaheb Düsseldorf
Vorher-Nachher-Bild | Kronen  | von  Jubin Banivaheb  | Düsseldorf  a5bfc9e0 Nachher-Bild
Nachher
Vorher-Nachher-Bild | Kronen  | von  Jubin Banivaheb  | Düsseldorf  a5bfc9e0 Vorher-Bild
Vorher
Kronen ZA Jubin Banivaheb ZA Jubin Banivaheb Düsseldorf
Vorher-Nachher-Bild | Kronen  | von  Jubin Banivaheb  | Düsseldorf  a5bfc9e0 Nachher-Bild
Nachher
Vorher-Nachher-Bild | Kronen  | von  Jubin Banivaheb  | Düsseldorf  a5bfc9e0 Vorher-Bild
Vorher
Kronen ZA Jubin Banivaheb ZA Jubin Banivaheb Düsseldorf
Vorher-Nachher-Bild | Implantate, Kronen  | von ZA Ayse Sari  | Tönisvorst 33e75ff0 Nachher-Bild
Nachher
Vorher-Nachher-Bild | Implantate, Kronen  | von ZA Ayse Sari  | Tönisvorst 33e75ff0 Vorher-Bild
Vorher
Implantate+1  Ayse Sari Ayse Sari Tönisvorst
Vorher-Nachher-Bild | Kronen  | von Dr. med. dent. Stefan  Ursu | Creußen d645920e Nachher-Bild
Nachher
Vorher-Nachher-Bild | Kronen  | von Dr. med. dent. Stefan  Ursu | Creußen d645920e Vorher-Bild
Vorher
Brücken+1 Dr. Stefan Ursu Dr. Stefan Ursu Creußen
Vorher-Nachher-Bild | Kronen  | von Dr. med. dent. Stefan  Ursu | Creußen d645920e Nachher-Bild
Nachher
Vorher-Nachher-Bild | Kronen  | von Dr. med. dent. Stefan  Ursu | Creußen d645920e Vorher-Bild
Vorher
Kronen Dr. Stefan Ursu Dr. Stefan Ursu Creußen
Vorher-Nachher-Bild | Kronen  | von Dr. med. dent. Kasra  Fotouhi | Wülfrath 34173cb3 Nachher-Bild
Nachher
Vorher-Nachher-Bild | Kronen  | von Dr. med. dent. Kasra  Fotouhi | Wülfrath 34173cb3 Vorher-Bild
Vorher
Füllung+1 Dr. Kasra  Fotouhi Dr. Kasra Fotouhi Wülfrath
Vorher-Nachher | ZA Thomas  Hamacher Nachherbild
Nachher
Vorher-Nachher | ZA Thomas  Hamacher Vorherbild
Vorher
Kronen  Thomas Hamacher Thomas Hamacher Bonn

Ästhetischer Zahnersatz und Schutz für geschädigte Zähne

Wenn ein Zahn von Karies befallen ist und eine Füllung nicht mehr möglich ist, kommt ein Zahnersatz zum Einsatz – in den meisten Fällen eine Krone. Anhand von Vorher Nachher Bildern finden Sie hier den Experten für Ihren optimalen Zahnersatz mit Kronen.

Voll- oder Teilkronen

Bei Kronen unterscheidet man zwischen Teilkronen, die nur die erkrankte Zahnsubstanz – also meist die beschädigte Kaufläche – ersetzen und Vollkronen, die den gesamten Zahn umhüllen. Welche Variante davon zum Einsatz kommt, entscheidet der zu behandelnde Zahnarzt anhand des individuellen Befundes.

Das Material macht den Unterschied

Das Material wählt der Patient in der Regel selbst aus. Für den sichtbaren Bereich im Mund bieten sich zahnfarbene Kronen an. Hier kann der Patient zwischen Vollkeramikkronen und Verblendkronen wählen. Verblendkronen sind Kronen mit einem Metallkern, der optisch mit Keramik oder Kunststoff verblendet ist. Der Vorteil von Verblendkronen: Sie sind rasch angefertigt und günstiger als Vollkeramikkronen. Der Nachteil liegt hier im legierten Metallgerüst. Kommt es zu einem Zahnfleischrückgang, kann das Metallgerüst zum Vorschein kommen und gerade im Bereich der Frontzähne zu einem unschönen Makel werden. Vollkeramische Kronen haben den Vorteil, dass sie sich optisch perfekt an die natürlichen Zähne anpassen. Zudem sind sie sehr langlebig, haben eine gute Temperaturisolation und sind auch für Allergiker geeignet. Neben diesen Varianten für den Frontzahnbereich gibt es natürlich auch noch die klassischen Kronen aus Gold. Diese werden aber heutzutage fast nur noch im Seitenzahnbereich eingesetzt. Der Grund: Kronen aus Goldlegierungen sind zwar äußerst stabil, allerdings ist Gold temperaturleitfähig, was für viele Patienten sehr unangenehm sein kann. Auch der Kostenfaktor spielt hier für viele Patienten eine Rolle.

Ablauf: Einsetzen einer Krone

Um einen Zahn zu überkronen, muss dieser zunächst präpariert werden. Zuerst entfernt der Zahnarzt gegebenenfalls kariöse Stellen und beschleift den Zahn, damit die Krone später passgenau aufgesetzt werden kann. Im nächsten Schritt wird die Zahnfarbe bestimmt und mehrere Abdrücke genommen, die dem Zahntechniker als Vorlage für die Anfertigung dienen. Bis der Zahnersatz fertig ist, erhält der Patient ein Provisorium aus Kunststoff, um den beschliffenen Zahn zu schützen. Nach Fertigstellung wird die Krone beim Patienten eingesetzt. Dabei prüft der Zahnarzt nochmals die Passgenauigkeit und kann – wenn nötig – noch kleine Unebenheiten abschleifen.