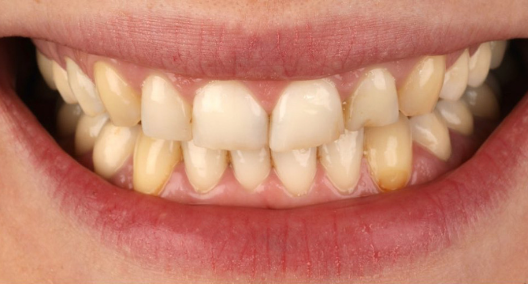
Behandlung Vorher-Nachher-Bild | Veneers  | von Dr. med. dent.  Alexander Vuck  | Düsseldorf  14bfa6bb Vorher-Bild
Nachher
Behandlung Vorher-Nachher-Bild | Veneers  | von Dr. med. dent.  Alexander Vuck  | Düsseldorf  14bfa6bb Nachher-Bild
Vorher
1617 Ansichten

Bleaching Vorher Nachher

von Dr. med. dent. Alexander Vuck

Dr. med. dent.  Alexander Vuck  Profilbild
Alle durchgeführten Behandlungen bei diesem Fall: BleachingKronenVeneers

Du findest das Behandlungsergebnis toll und möchtest Dich in dieser Praxis behandeln oder beraten lassen? Jetzt Kontakt aufnehmen:

Kontakt zur Praxis

Befund

Unausgeglichenes Verhältnis zwischen Länge und Breite der Frontzähne

Behandlung

Anbringen von Veneers an den Frontzähnen

Patientendaten

Weiblich