1482
Ansichten
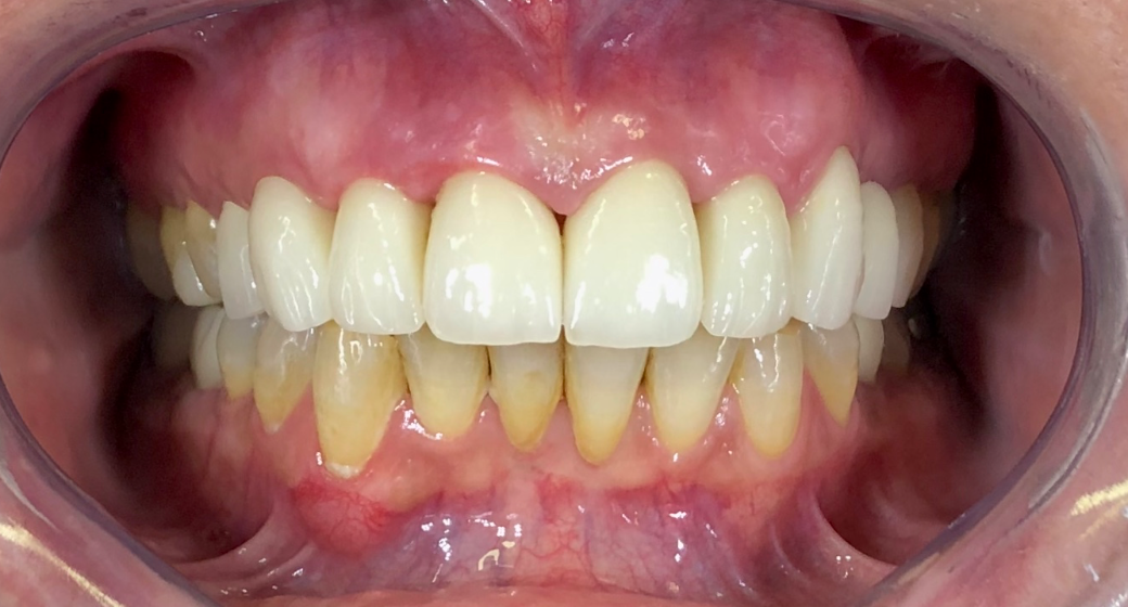
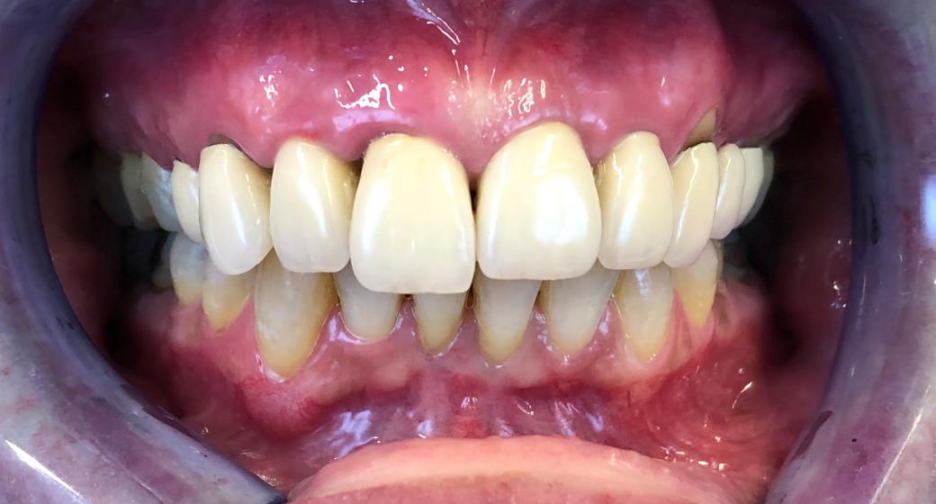
Kronen Vorher Nachher
von ZA Jubin Banivaheb
Du findest das Behandlungsergebnis toll und möchtest Dich in dieser Praxis behandeln oder beraten lassen? Jetzt Kontakt aufnehmen:
Befund
Diverse insuffiziente Kronen im Oberkiefer.
Behandlung
Ästhetische Keramikkronen im Oberkiefer
Patientendaten
weiblich
