Dr. med. dent. Stefan  Ursu Profilbild

Zahnarzt Dr. med. dent. Stefan Ursu

Neuhofer Straße 1 9,
95473 Creußen

Ästhetische ZahnmedizinImplantologieKinderzahnmedizinParodontologieProphylaxe / PZRProthetikVollnarkoseWurzelkanalbehandlung

Du findest das Behandlungsergebnis toll und möchtest Dich in dieser Praxis behandeln oder beraten lassen? Jetzt Kontakt aufnehmen:

Calendar IconOnline-Termin Kontakt zur Praxis
Vorher Nachher Bild Icon

Vorher-Nachher-Bilder von Dr. med. dent. Stefan Ursu

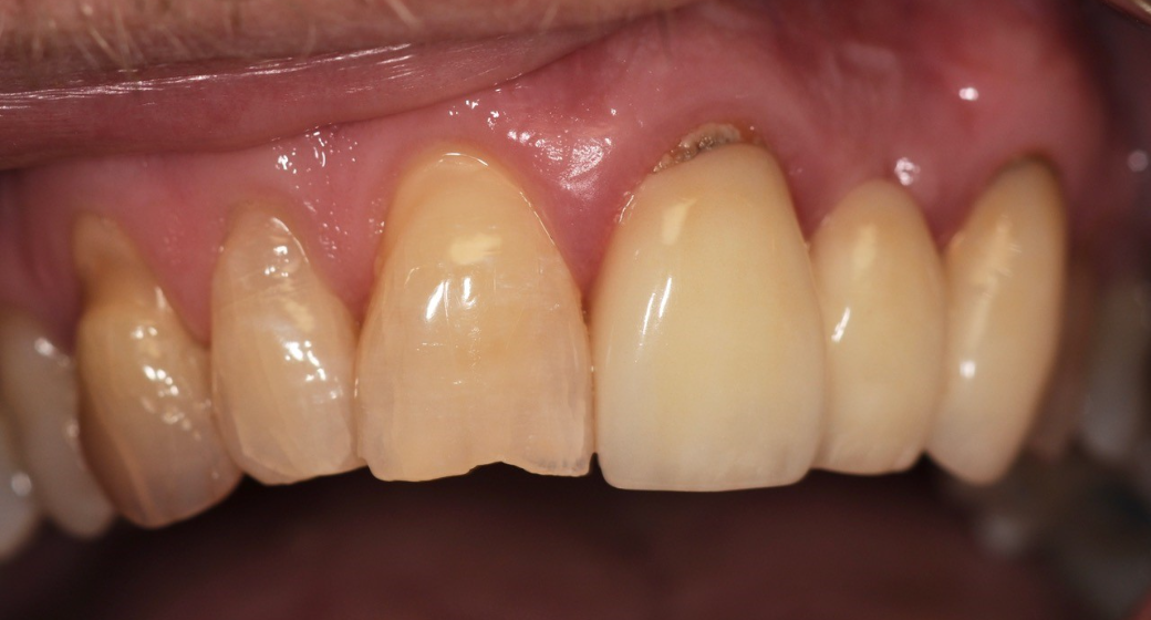
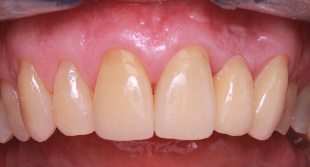
Vorher-Nachher-Bild | Kronen  | von Dr. med. dent. Stefan  Ursu | Creußen d645920e Nachher-Bild
Nachher
Vorher-Nachher-Bild | Kronen  | von Dr. med. dent. Stefan  Ursu | Creußen d645920e Vorher-Bild
Vorher
Brücken+1 Dr. Stefan Ursu Dr. Stefan Ursu Creußen
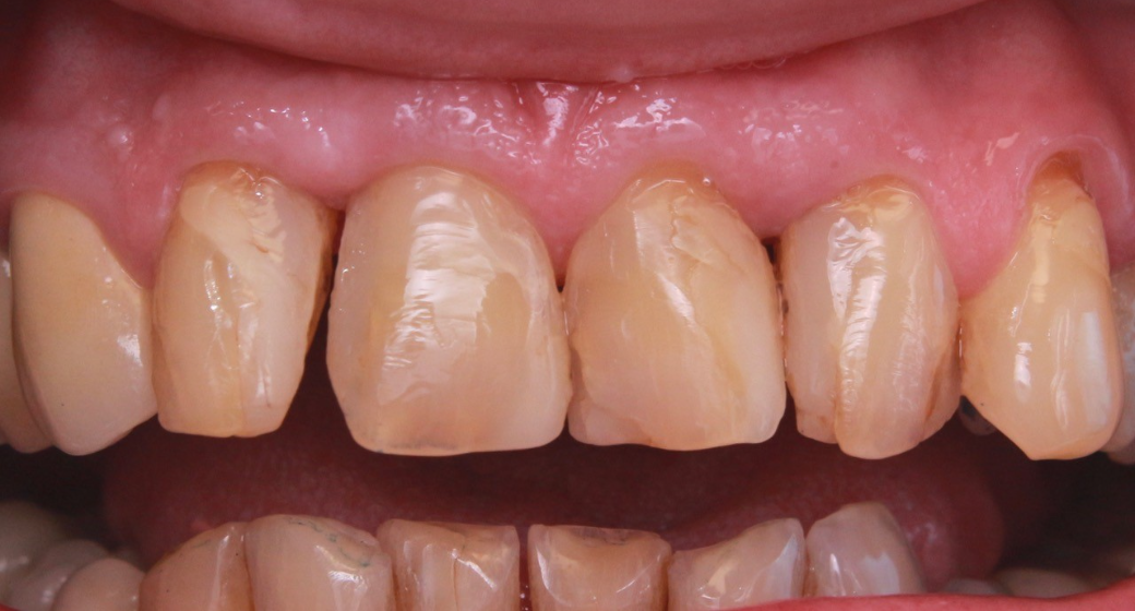
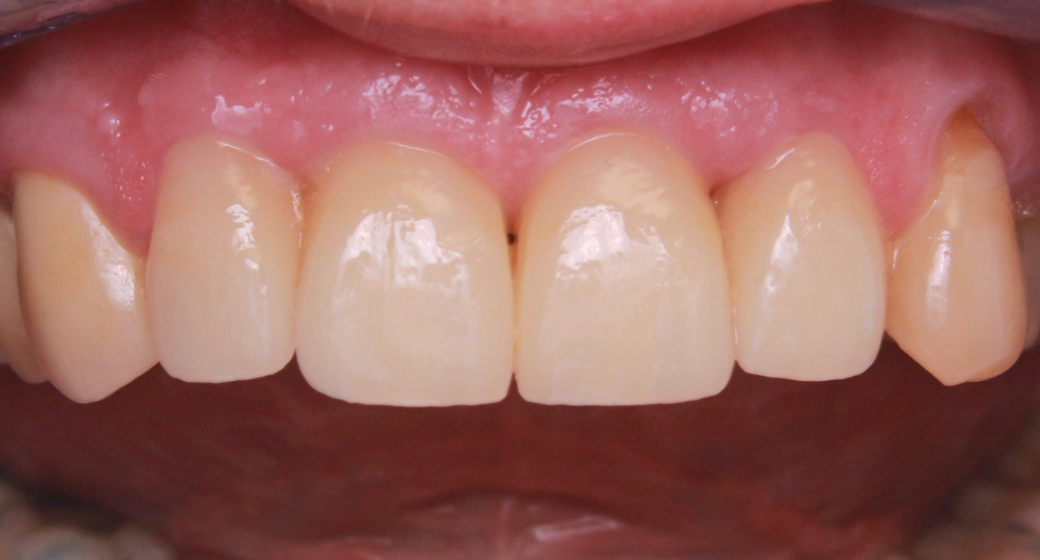
Vorher-Nachher-Bild | Implantate  | von Dr. med. dent. Stefan  Ursu | Creußen d645920e Nachher-Bild
Nachher
Vorher-Nachher-Bild | Implantate  | von Dr. med. dent. Stefan  Ursu | Creußen d645920e Vorher-Bild
Vorher
Brücken Dr. Stefan Ursu Dr. Stefan Ursu Creußen
Vorher-Nachher-Bild | Kronen  | von Dr. med. dent. Stefan  Ursu | Creußen d645920e Nachher-Bild
Nachher
Vorher-Nachher-Bild | Kronen  | von Dr. med. dent. Stefan  Ursu | Creußen d645920e Vorher-Bild
Vorher
Kronen Dr. Stefan Ursu Dr. Stefan Ursu Creußen
Beschreibung Icon

Über Dr. med. dent. Stefan Ursu

2003-2009 Studium der Zahnmedizin an der Friedrich-Alexander-Universität Erlangen-Nürnberg 

2011-2018 Zahnarzt in einer Zahnarztpraxis in Nürnberg mit allumfassendem  Behandlungsspektrum, Tätigkeitsschwerpunkt Implantologie

2012-2013 Curriculum Endodontie

2012-2013 Curriculum Implantologie

ab 2019 Niederlassung in eigener Praxis in Creußen (Übernahme und Weiterführung Praxis Dr. Peter Cieslak)