Zahnarztbild Placeholder

Zahnärztin Dr. med. dent. Dorothée Jarleton

Schildergasse 46-48,
50667 Köln

AlignerAngstpatientenÄsthetische ZahnmedizinBleachingCMDEndodontologieImplantologieProphylaxe / PZRZahnersatz

Du findest das Behandlungsergebnis toll und möchtest Dich in dieser Praxis behandeln oder beraten lassen? Jetzt Kontakt aufnehmen:

Kontakt zur Praxis
Vorher Nachher Bild Icon

Vorher-Nachher-Bilder von Dr. med. dent. Dorothée Jarleton

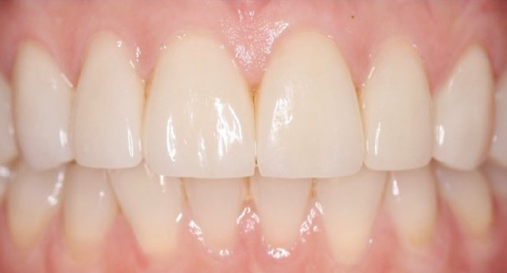
Vorher-Nachher-Bild von    | Köln 26337353 Nachher-Bild
Nachher
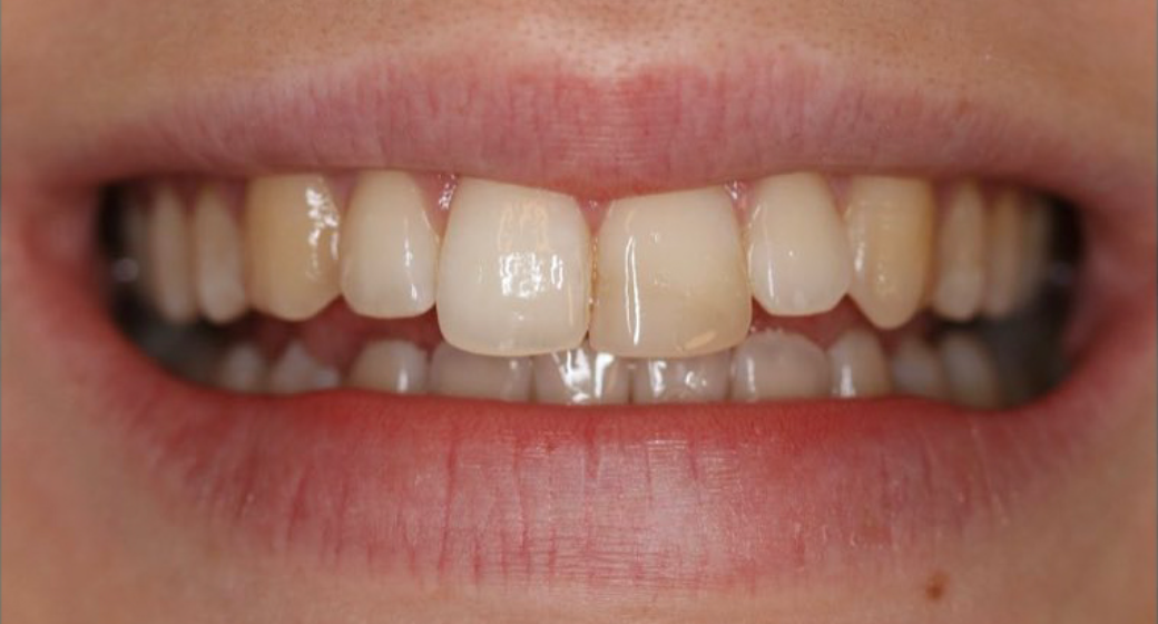
Vorher-Nachher-Bild von    | Köln 26337353 Vorher-Bild
Vorher
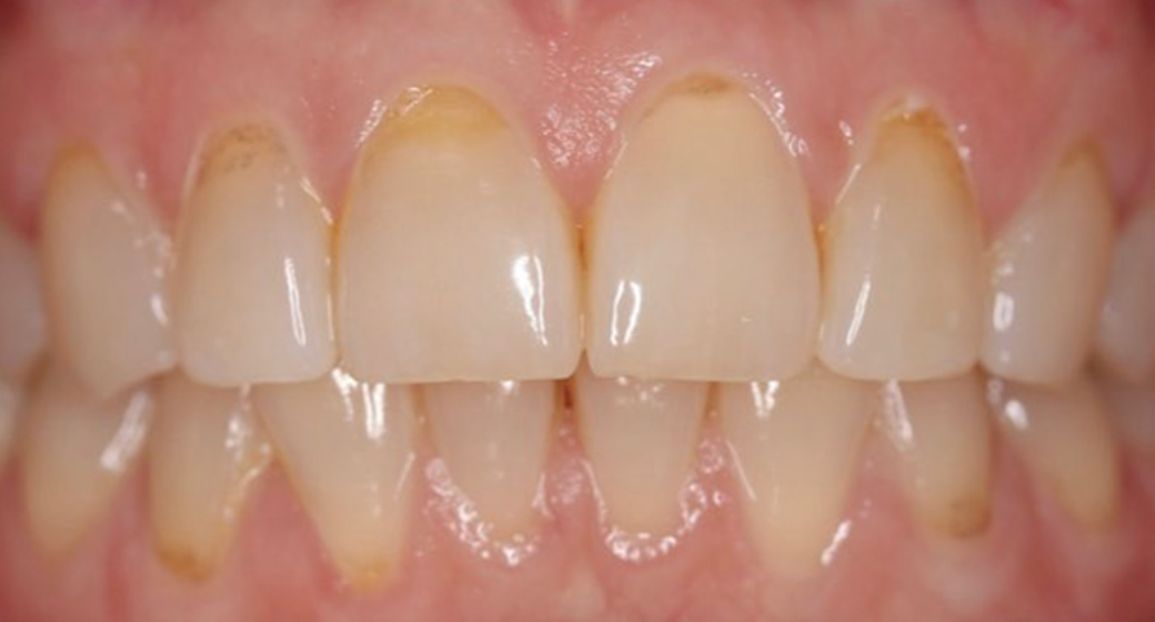
Veneers Dr. Dorothée Jarleton Dr. Dorothée Jarleton Köln
Vorher-Nachher-Bild | Veneers  | von    | Köln 26337353 Nachher-Bild
Nachher
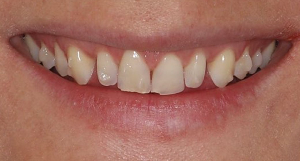
Vorher-Nachher-Bild | Veneers  | von    | Köln 26337353 Vorher-Bild
Vorher
Veneers Dr. Dorothée Jarleton Dr. Dorothée Jarleton Köln
Vorher-Nachher-Bild | Bleaching, Kronen, Veneers  | von Dr. Dorothée Jarleton | Köln 26337353 Nachher-Bild
Nachher
Vorher-Nachher-Bild | Bleaching, Kronen, Veneers  | von Dr. Dorothée Jarleton | Köln 26337353 Vorher-Bild
Vorher
Veneers Dr. Dorothée Jarleton Dr. Dorothée Jarleton Köln
Beschreibung Icon

Über Dr. med. dent. Dorothée Jarleton

Darf ich mich vorstellen: Mein Name ist Dr. Dorothée Jarleton. Als Deutsch-Französin liebe ich natürlich das, was diese beiden historisch verwachsenen Kulturen ausmacht: Herzlichkeit, Offenheit, Humor, Leichtigkeit, Leidenschaft und der Sinn für die wirklich schönen Dinge im Leben!

Vita

2006–2011 – Studium der Zahnmedizin an der Westfälischen-Wilhelms- Universität Münster

2010 – Auslandsfamulatur Cook-Inseln, Südpazifik als Zahnärztin einer Zahnstation

2010 – Famulatur Oralchirurgie Privatzahnklinik Schloss Schellenstein Olsberg

2011 – Approbation als Zahnärztin

2012 – Promotion zum Dr. med. dent.

2012–2013 – Assistenzzahnärztin in Köln

2013–2016 – Angestellte Zahnärztin in Brühl

seit 2017 – in eigener Praxis in Köln tätig

Mitgliedscahften Icon

Dr. med. dent. Dorothée Jarleton ist Mitglied in folgenden Gesellschaften

  • DGĂ„Z - Deutsche Gesellschaft fĂĽr Ă„sthetische Zahnheilmedizin
  • DGZMK - Deutsche Gesellschaft fĂĽr Zahn-, Mund- und Kieferheilkunde