Behandlung Vorher-Nachher | ZA Thomas  Hamacher Vorherbild
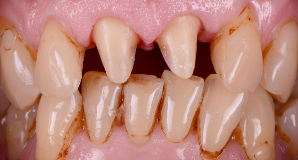
Nachher
Behandlung Vorher-Nachher | ZA Thomas  Hamacher Nachherbild
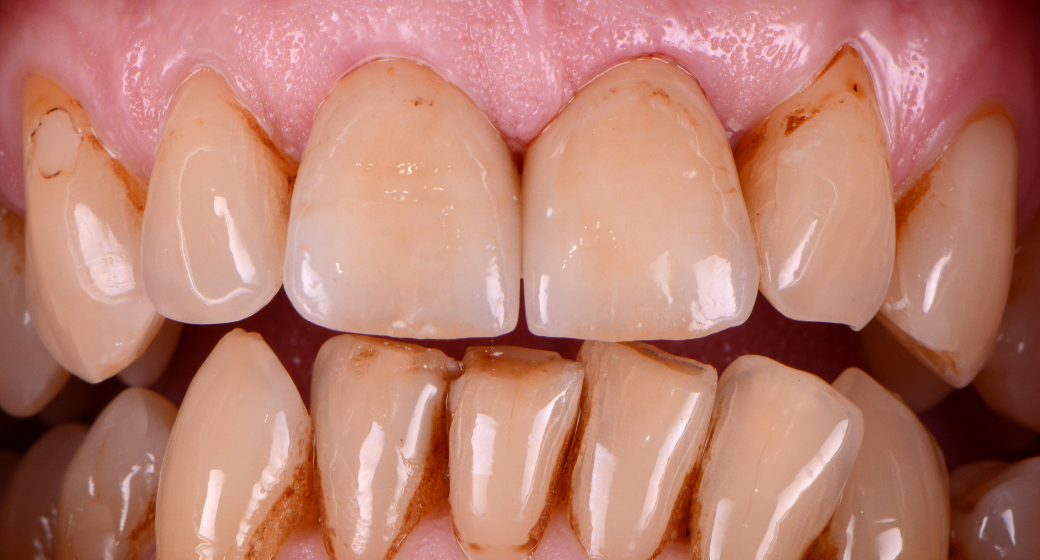
Vorher
964 Ansichten

Kronen Vorher Nachher

von Thomas Hamacher

ZA Thomas  Hamacher Profilbild
Alle durchgeführten Behandlungen bei diesem Fall: Kronen

Du findest das Behandlungsergebnis toll und möchtest Dich in dieser Praxis behandeln oder beraten lassen? Jetzt Kontakt aufnehmen:

Kontakt zur Praxis

Befund

Alte Krone linker Schneidezahn und große, schlechte Füllungen am rechten Schneidzahn.

Behandlung

Kariestherapie mit anschließender Überkronung der beiden mittleren Schneidezähne.

Patientendaten

männlich, 57Jahre